106年:醫學六(1)
51 歲男性病人,右側肩膀疼痛,且轉動受限。超音波及 X光片檢查如圖,最可能的診斷為何?

A旋轉環帶斷裂( rotator cuff tear )
B退化性關節炎( degenerative arthritis )
C肩峰及三角肌下滑膜炎( subacromial-subdeltoid bursitis )
D鈣化性肌腱變性( calcific tendinosis )
詳細解析
本題觀念:
本題考察肩部超音波合併 X 光片的綜合影像判讀,重點為區分**肩峰及三角肌下滑液囊炎(subacromial-subdeltoid bursitis)**與其他肩部疾患(旋轉環帶斷裂、退化性關節炎、鈣化性肌腱變性)。需能辨識滑液囊積液的超音波特徵,並利用 X 光排除鈣化性肌腱變性。
影像分析:
上圖(超音波,RT SS TR): 右肩棘上肌腱橫斷面(short axis transverse)超音波影像。影像右上角顯示探頭設定(Small P, 12.50-3.00 MHz,MI 0.9)。可見:
- 肱骨頭(humeral head)弧形高回音骨皮質清晰可見於下方
- 骨皮質上方出現一層均勻低回音/無回音液體帶(anechoic fluid layer)
- 影像中可見測量標記(
+...+),標示積液厚度 D1 = 0.556 cm(約 5.6 mm) - 正常肩峰下-三角肌下滑液囊(subacromial-subdeltoid bursa)厚度 < 2 mm;本圖 5.6 mm 顯著超過正常值,確認滑液囊異常積液擴張
- 棘上肌腱本身(三角肌與液體帶之間)回音尚可辨識,未見明顯全層缺損,與旋轉環帶斷裂的無回音缺損不同
- 液體帶內無高回音鈣化沉積,排除鈣化物遷移至滑液囊
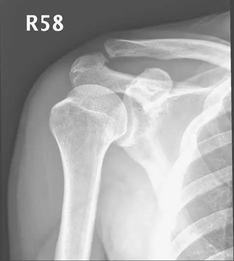
下圖(X 光,R58): 右肩關
...(解析預覽)...
![醫師[2] - 軟組織損傷與神經壓迫復健 - AI 圖文解析預覽](/_next/image?url=https%3A%2F%2Fbgvxfcrmbdvefjhuvrmt.supabase.co%2Fstorage%2Fv1%2Fobject%2Fpublic%2Fvisual-explanations%2F924%2F61364_t3f1c0314.webp&w=3840&q=75)
升級 VIP 解鎖圖文解析