108年:神經物治(2)
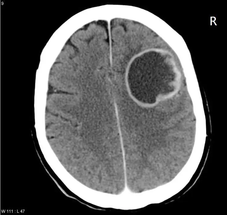
王老太太因腦部感染入院, MRI 中出現如圖中一個指環狀的病灶,則其可能的診斷為何? 
A腦炎
B細菌性腦膜炎
C腦膿瘍
D病毒性腦膜炎
詳細解析
本題觀念:
腦部感染在影像上的鑑別診斷。本題考核腦膿瘍(brain abscess)在 MRI/CT 上的特徵性影像表現——指環狀增強病灶(ring-enhancing lesion),以及與其他腦部感染(腦炎、腦膜炎)的鑑別要點。
影像分析:
影像為腦部橫斷面 CT 掃描(W111: L47,右側標記 R),可見右側大腦半球(影像左側,對應解剖右側)出現一個大型圓形低密度病灶,直徑約 4–5 cm,具有以下特徵:
- 指環狀高密度邊緣(ring-enhancing pattern):病灶周邊有明顯高密度環形邊界,代表膿瘍壁(abscess capsule)的血腦屏障破損及炎性包膜
- 中央低密度區:代表液化壞死的膿液(pus)所在
- 周圍低密度暈圈:病灶周邊腦組織的血管性水腫(vasogenic edema)
- 佔位效應:右側半球受壓,腦室輕度變形,中線結構輕度向左偏移
此典型「指環狀病灶」(ring sign)為腦膿瘍的特徵性影像表現,與本題臨床情境(腦部感染)高度吻合。
選項分析
(A) 腦炎(encephalitis) 腦炎為腦實質瀰漫性或局部性炎症,多為病毒感染(如 Herpes simplex virus)所致。影像上表現為局部腦實質腫脹、T2/FLAIR 高訊號,常見於顳葉及邊緣系統;*
...(解析預覽)...

升級 VIP 解鎖圖文解析