108年:神經物治(2)
承上題【王老太太因腦部感染入院, MRI 中出現如圖中一個指環狀的病灶,則其可能的診斷為何?】,治療師看完 MRI 後,預期患者最可能會出現下列那一種症狀? 
A左側偏 癱
B右側偏 癱
C四肢 癱瘓
D下半身 癱瘓
詳細解析
本題觀念:
本題承接前題(腦膿瘍診斷),考核神經解剖學中**對側支配原則(contralateral control)**的應用:大腦右半球病灶造成左側肢體症狀。結合影像判斷病灶位置,推論患者最可能出現的神經學缺損。
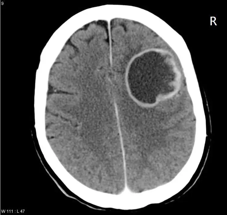
影像分析:
影像與前題相同,為腦部橫斷面 CT 掃描(W111: L47),右上角標示「R」代表影像右側對應患者解剖右側。
影像所見(與前題一致):
- 病灶位置:右側大腦半球(影像圖面偏左,「R」標記的同側),位於右側頂葉至顳葉交界區的腦實質內
- 病灶特徵:大型圓形指環狀病灶(直徑約 4–5 cm),具有高密度環形包膜、中央低密度膿腔及周邊血管性水腫
- 佔位效應:右側大腦半球受壓,中線輕度向左偏移
關鍵判讀:病灶位於右側大腦半球,依據「神經交叉支配」原則,右側運動皮質及皮質脊髓束(corticospinal tract)在延腦的錐體交叉(pyramidal decussation)後,下行控制左側肢體的運動功能。因此右側大腦半球的佔位性病灶將造成左側偏癱。
選項分析
(A) 左側偏癱(left hemiplegia) ✅ 正確答案 右側大腦半球病灶 → 皮質脊髓束在延腦錐體交叉後下行 → 控制對側(左側)肢體運動 → 右側半球病灶造成左側偏癱。此為大腦
...(解析預覽)...

升級 VIP 解鎖圖文解析