108年:心兒物治(1)
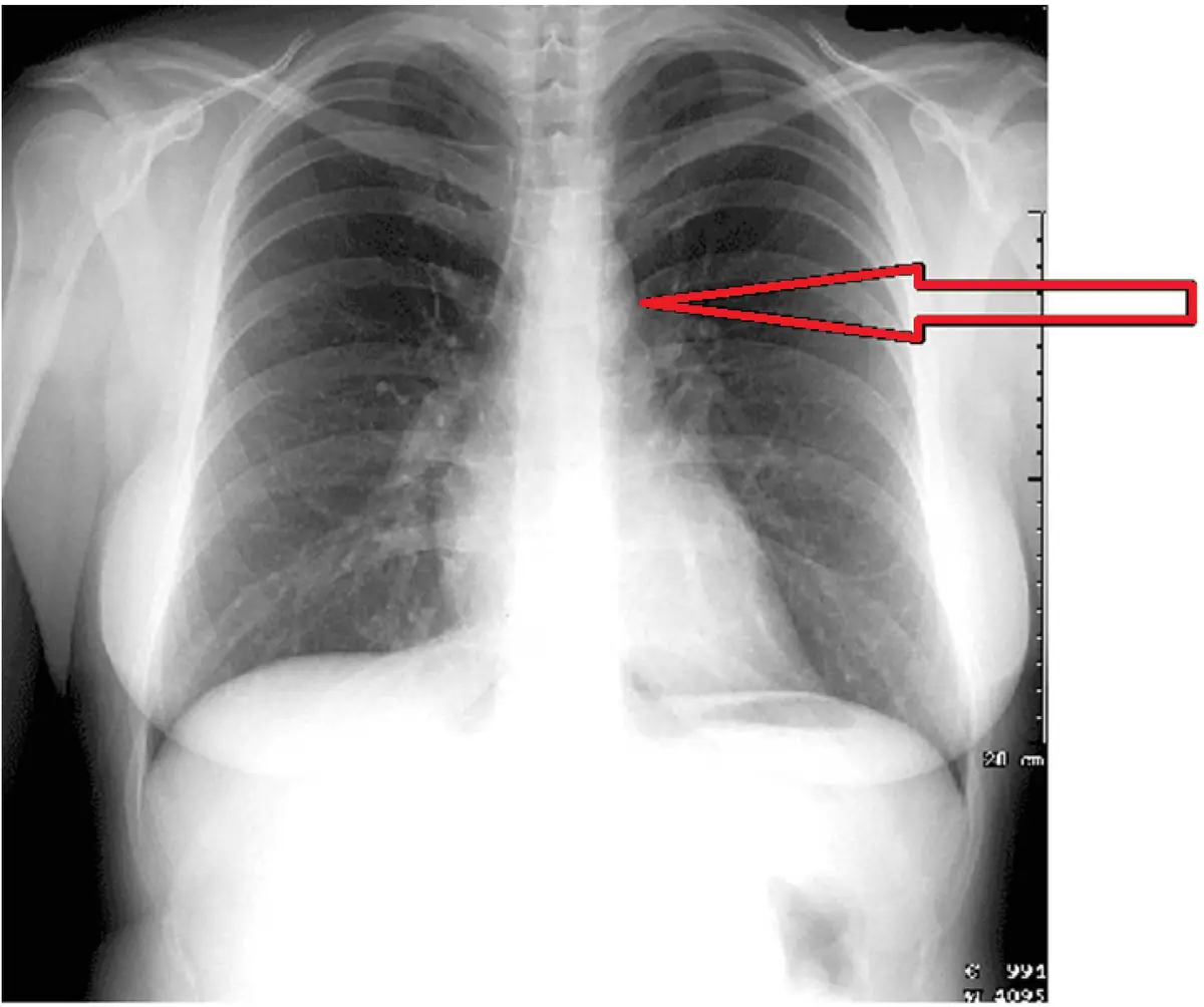
圖中箭頭所指結構是: 
A肺動脈( pulmonary artery )
B肺靜脈( pulmonary vein )
C主動脈結( aortic knob )
D左⼼房( left atrium )
詳細解析
本題觀念:
胸部X光(chest X-ray, CXR)的縱膈腔(mediastinum)解剖辨識是物理治療師必須掌握的基礎影像判讀能力。本題考查在後前位(posteroanterior, PA)胸部X光片上,辨認左側縱膈腔輪廓上由箭頭所指的特定解剖結構。
影像分析:
本題提供一張標準後前位(PA view)胸部X光,為成人胸廓正面影像,整體肺野清晰,縱膈腔結構可辨。圖中有一個明顯的紅色箭頭,從圖片右側(病人左側)指向縱膈腔左側上方的特定結構。
箭頭指向位置分析:
- 箭頭指向左側縱膈腔的上方突出輪廓,位於心臟陰影上方、左主支氣管開口上方的高度。
- 此結構呈圓弧形突出(knob/knuckle 外觀),形成左側縱膈腔最上方的凸起輪廓。
- 依位置判斷,此結構位於 T3–T4 椎體水平,介於升主動脈弓(上方)與左肺動脈(下方)之間。
- 箭頭指向的正是此明顯的圓形結節狀突起,即主動脈結(aortic knob),又稱主動脈結節(aortic knuckle)。
周圍結構對照:
- 主動脈結下方(稍後方)的凹陷即為主動脈-肺動脈窗(aortopulmonary window)。
- 再往下方才是左肺動脈(left pulmonary artery)的輪廓。
- 左心房(left atrium)在 PA 片上
...(解析預覽)...

升級 VIP 解鎖圖文解析