104年:內專
77歲老太太一向健朗,未有任何不適症狀,因主動脈區有心縮性心雜音而轉診內科。理學檢查:Height: 160cm/ Weight: 55kg; BP:142/82 mmHg; T/P/R: 36.2 /60 /20, SpO₂: 99% under room air; Pulsus paradoxicus (-),PMI: 5th ICS, around left mid-clavicular line, aortic ejection sound (+),Gr. III/VI Mid-systolic murmur over Aortic area and left lower sternal border, no neck radiation; Lungs: No crackles; No hepatosplenomegaly and no ascites; No legs edema. 其心電圖、胸部X光、心臟超音波及心導管報告如列。 本病人隨即有下列諸項臨床決策: (1)初步診斷是高血壓及高血壓性心臟病 (2)初步診斷是主動脈瓣狹窄心臟病 (3)在現階段最好的內科治療是適量的Beta-blocker,Calcium channel blocker,ACE inhibitors or Angiotensin receptor blocker,以降低血壓 (4)由於未有明顯的心絞痛、眩暈或呼吸困難,在現階段最恰當的治療是以Statin、Angiotensin receptor blocker及 Beta-blocker為宜 (5)內科及外科的治療,對其預後無有改進,本病人的唯一選擇是主動脈瓣膜置換手術或經導管主動脈瓣膜置放手術,請問下列何組決策是正確的 ?
A(1)+(3)+(5)
B(1)+(3)+(4)
C(2)+(3)+(5)
D(1)+(4)+(5)
E(2)+(4)+(5)
詳細解析
本題觀念:
本題考察主動脈瓣狹窄(aortic stenosis, AS)的診斷與治療決策。核心在於:(1) 如何根據臨床表現、心電圖、胸部X光、心臟超音波及心導管數據正確診斷 AS 的嚴重度;(2) 無症狀嚴重主動脈瓣狹窄的最適治療選擇。
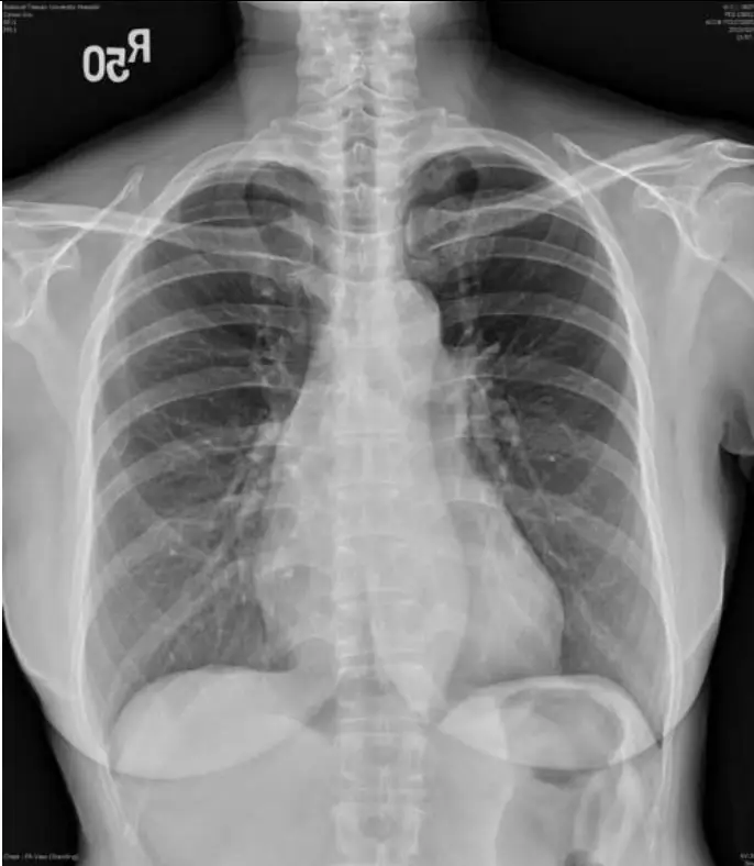
影像分析:
圖一:胸部X光(Chest X-ray, CXR) 正位胸部X光顯示:心臟大小在正常範圍,心胸比(cardiothoracic ratio)未明顯增加;肺部無肺水腫(pulmonary edema)或明顯充血性心臟衰竭(congestive heart failure)徵象;無胸腔積液(pleural effusion)。此影像不符合高血壓性心臟病(hypertensive heart disease)常見的心臟擴大表現,也不支持嚴重心臟衰竭。
圖二:心電圖(Electrocardiography, ECG) 12 導聯心電圖記錄於 2015/02/04,心率約 60 次/分,規則竇性心律(sinus rhythm)。可見左心室肥厚(left ventricular hypertrophy, LVH)的電壓標準(高 R 波於 V5-V6、深 S 波於 V1-V2),以及次要 ST-T 改變(secondary ST-T changes, strain pattern)。此 LVH 改變符合長期主動
...(解析預覽)...

升級 VIP 解鎖圖文解析