104年:內專
病人男性59歲於午夜24時,突因胸悶並有牙床緊疼,乃直往急診部求診,時病人之T/P/R = 35.1/51/18, BP 137/74 mmHg; 理學檢查,未見任何異常。病史追尋,本病人曾經醫師確定高血壓、高脂血、糖尿病及攝護腺肥大,唯僅只服用Bisoprolol 2.5 mg/day。經緊急檢查:其心電圖及胸部X光顯示如圖:生化檢查: CK,96 U/L;CK-MB,20 U/L;TnI <0.0012 ng/ml;Sugar 252 mg/dL; Na,137 mmol/L; K, 3.7 mmol/L; TG,182 mg/dL and Total cholesterol, 222 mg/dL ; 血液檢查: Hb,13.9 g/dl; Platelet, 203 K/uL; WBC,9.45 K/uL; Cre,1.3 mg/dL 請問本病人最可能的急診診斷是:
APrintzmetal's angina
BAortic dissection
CAcute anterior myocardial infarction
DHypertension
EAcute periodontitis disease
詳細解析
本題觀念:
本題考核急性前壁心肌梗塞(acute anterior myocardial infarction, STEMI)的臨床診斷邏輯,整合病史、生命徵象、心電圖、胸部X光及心臟生化標記,訓練考生在急診情境下快速鑑別診斷胸痛病因。
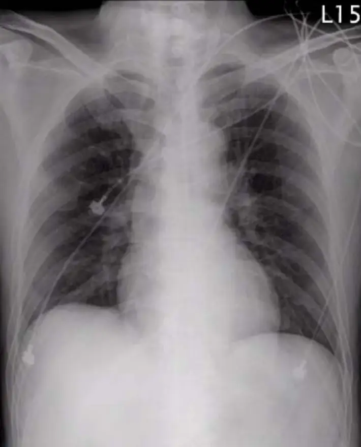
影像分析:
圖一:胸部X光(Chest X-ray,AP view)
本片為急診床邊AP位胸部X光,可見多條心電圖監測電極線跡。心臟輪廓略偏大,但未達明顯心臟肥大標準(CT ratio 接近正常)。肺野呈現輕度間質性浸潤,提示可能有輕微肺水腫初兆,與左心室功能障礙一致。縱膈寬度無明顯增寬,可基本排除主動脈剝離(aortic dissection)。無明顯氣胸、大量肋膜積液或肺葉塌陷。右中肺野可見一小圓形緻密影,疑為心電圖電極扣。
圖二:12導程心電圖(12-lead ECG)
心率約 51 bpm,與病人服用 Bisoprolol(乙型阻斷劑)所致竇性心搏過慢(sinus bradycardia)一致。最關鍵發現:前胸導程 V2、V3、V4、V5 可見顯著 ST 節段抬高(ST elevation),呈凸形(convex / tombstone 型態)向上抬高,高度超過 0.2 mV,符合急性前壁 ST 抬高型心肌梗塞(ST-elevation myocardial infarction, STEMI
...(解析預覽)...

升級 VIP 解鎖圖文解析