104年:內專
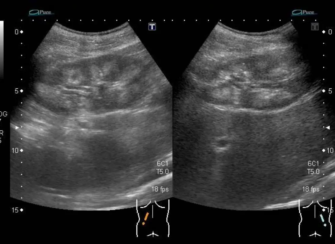
24歲女性病人因肌肉抽筋與全身乏力影響打電腦與走路而求診。理學檢查為:血壓 112/70 mmHg; HR 80/min, 呼吸14/min,全身肌力約4分。BUN 13.2 mg/dL, Cre 0.9 mg/dL, Uric acid 9.6 mg/dL, Na 136 mmol/L, K 2.6 mmol/L, Cl 85 mmol/L, Ca 2.38 mmol/L, Mg 0.9 mmol/L. Urine K 33.4 mmol/24/h , TTKG 11.74. Blood gas pH 7.53, PaCO2 49.3 mmHg, PaO2 98.0 mmHg, HCO₃⁻ 41.2 mEq/L, BE 15.8 mEq/L. Plasma renin activity 25.8 ng/ml/h (normal <5); Plasma aldosterone 64.4 ng/dL (normal <30)., 腎臟超音波(如圖)。請問何者為正確? (1) Fanconi syndrome, (2) Bartter syndrome, (3) Gilteman syndrome, (4) 長期過度使用Thiazide, (5) 長期過度使用Loop diuretics.
A(1)+(2)
B(2)+(5)
C(3)+(4)
D(2)+(4)
E(3)+(5)
詳細解析
本題觀念:
本題考核低血鉀合併代謝性鹼中毒(hypokalemia with metabolic alkalosis)的鑑別診斷,需整合腎臟電解質、酸鹼、荷爾蒙及影像資料,區分Bartter syndrome(巴特氏症候群)、Gitelman syndrome(基特曼氏症候群)、長期使用 loop diuretics 與 thiazide diuretics 四種臨床情境。
影像分析:
腎臟超音波顯示雙側腎臟的橫切面與矢狀切面掃描(使用 6C1 探頭,T5.0 設定,18fps)。兩側腎臟大小正常,腎臟皮質回音均勻,腎錐體(renal pyramids)無異常高回音,未見腎鈣化(nephrocalcinosis),亦無腎結石或水腎等異常發現。
此正常腎臟超音波結果在本題的鑑別診斷中極為關鍵:
- Bartter syndrome(尤其 Type I/II/IV):長期高鈣尿症(hypercalciuria)可導致腎鈣化,超音波顯示錐體高回音;但**Type III(classic Bartter)**及部分成人發病型可無腎鈣化
- Gitelman syndrome:幾乎不會出現腎鈣化(低鈣尿症保護腎臟)
- 長期 loop diuretic 濫用:可能有腎鈣化,但初期或劑量不高時超音波可正常
...(解析預覽)...

升級 VIP 解鎖圖文解析