105年:內專
一位65歲女性髖骨骨折開刀後7天,主訴呼吸窘迫;開刀前血壓為130/80毫米汞柱,呼吸窘迫時測量之血壓為80/50毫米汞柱.血氧濃度由98%降至70%.心電圖如圖.值班醫師沒抽血測D- dimer 便直接安排影像檢查;胸部電腦斷層掃描如附圖.請問下列描述何者為誤?
A該病患很有可能因開刀後臥床而導致深部靜脈栓塞
B該值班醫師應該抽血等D- dimer數值檢測出來後,再進行安排影像檢查
C該病患之血壓降低的原因之一是由於右心血液無法回到左心,來提供足夠心輸出量所致
D此時抽血,血中乳酸會升高
ED-dimer對此肺部血管變化的診斷敏感度(sensitivity)>95%
詳細解析
本題觀念:
本題考查大量肺栓塞(massive pulmonary embolism, PE)的診斷流程,重點在於:高臨床懷疑度時,D-dimer 的角色與影像學檢查的安排順序。患者術後臥床、血壓驟降(血流動力學不穩定)合併嚴重低血氧,心電圖及 CT 均高度提示大量 PE,此情境下 D-dimer 的臨床意義與一般情境大相徑庭。
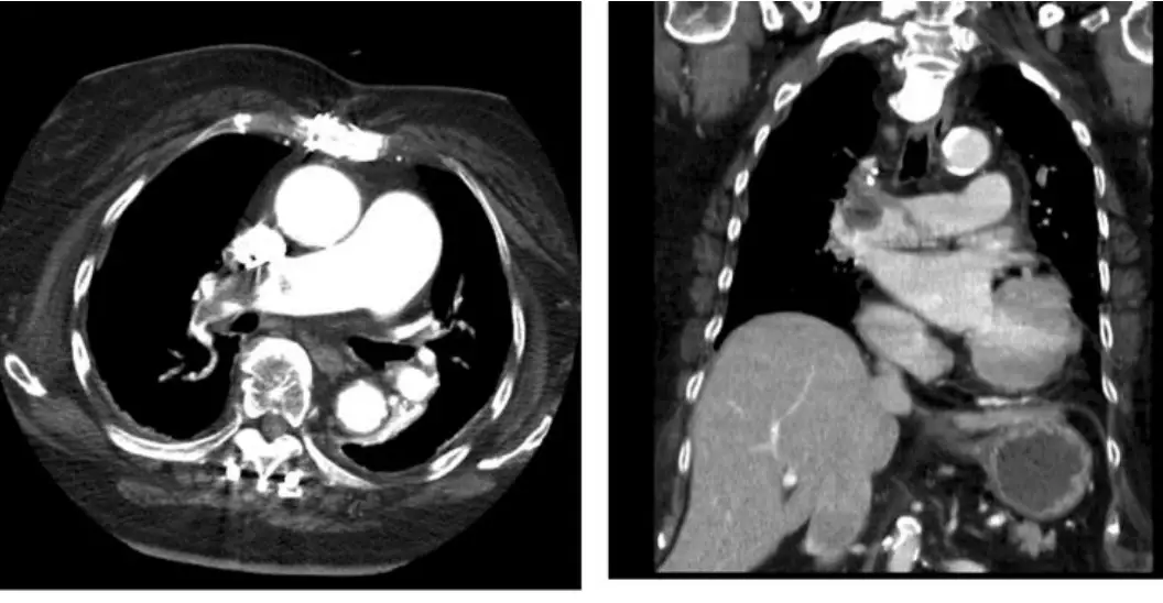
影像分析:
圖一:胸部電腦斷層血管攝影(CT Pulmonary Angiography, CTPA)
本圖包含橫軸位(axial)及冠狀位(coronal)兩個切面:
- 橫軸位(左圖):可見右側肺動脈主幹及左肺動脈內有明顯充填缺損(filling defect),對比劑無法進入栓塞部位,呈現低密度區域;右心室明顯擴大,右室/左室比例增大,顯示右心壓力負荷增加(right heart strain)。
- 冠狀位(右圖):進一步確認雙側肺動脈栓塞範圍廣泛,屬於鞍型栓塞(saddle embolism)或雙側主幹 PE 的型態;可見右心房、右心室擴張,提示急性肺心症(acute cor pulmonale)。
圖二:心電圖(12-lead ECG)
此心電圖呈現典型的急性右心張力(right heart strain)表現:
- S1Q3T3 型態(McGinn-White sign):Lea
...(解析預覽)...

升級 VIP 解鎖圖文解析