105年:內專
35歲年輕女性,因健檢照了一張胸部X光,如下圖所示,此外,患者在小腿上有皮膚病兆,經診斷為結節性紅斑(erythema nodosum),請問下列哪些敘述正確 1. 需要轉介眼科醫師進行眼睛的評估 2. 該疾病的分期需要進一步使用電腦斷層進行分期 3. 所有患者均需接受治療 4. 該疾病容易造成多重器官侵犯 5. 所有患者的診斷均需要病理切片的檢查
A1+3+4+5
B1+2+4
C1+4
D2+3
E2+4+5
詳細解析
本題觀念:
本題以一位 35 歲年輕女性合併胸部 X 光異常及結節性紅斑(erythema nodosum)為情境,考查肺部結節病(sarcoidosis)的臨床特徵、診斷、分期、器官侵犯及治療原則。核心在於辨別哪些關於結節病的敘述正確,需同時掌握:眼睛侵犯的重要性、分期方式、治療必要性及病理切片的適應症。
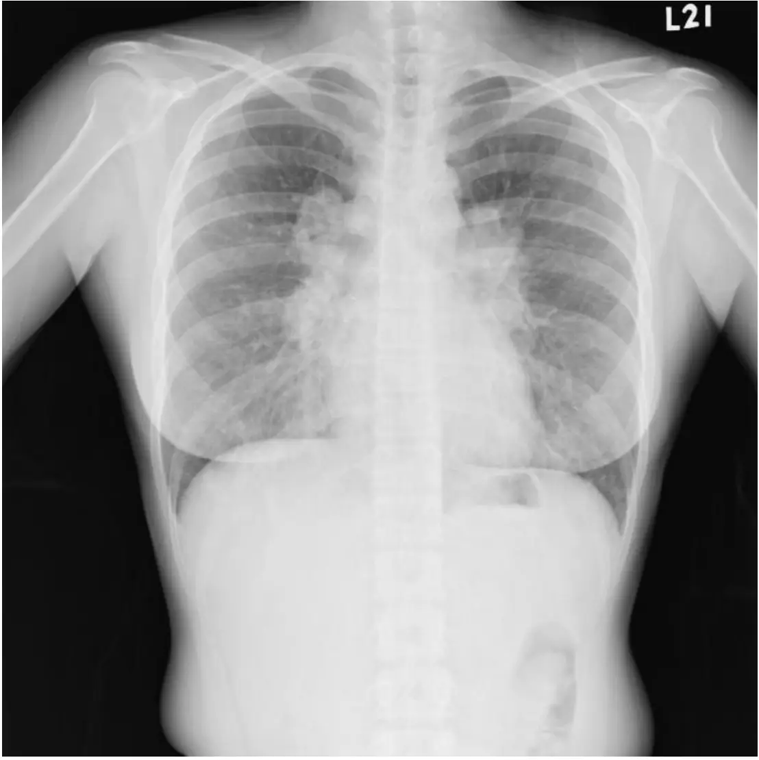
影像分析:
圖:胸部 X 光(Chest X-ray,PA view)
本圖為站立位後前位(posteroanterior)胸部 X 光:
- 雙側肺門對稱性腫大(bilateral hilar lymphadenopathy, BHL):雙側肺門陰影顯著擴大且左右對稱,此為結節病最典型的 X 光表現。右側肺門旁可見伴隨之氣管旁淋巴結腫大(right paratracheal lymphadenopathy),呈現「1-2-3 sign」或「Pawnbroker sign」的特徵輪廓。
- 肺實質(lung parenchyma):雙肺野清晰,無明顯浸潤、結節或纖維化,提示病灶僅限於縱膈腔及肺門淋巴結,尚未侵犯肺實質。
- 心臟大小及輪廓:正常範圍內,無心臟擴大。
- 肋膜腔:無積液。
X 光分期判讀:Stage I 結節病(雙側肺門淋巴結腫大,無肺實質浸潤)
臨床脈絡整合:此 35 歲年輕女性,無症狀性雙
...(解析預覽)...

升級 VIP 解鎖圖文解析