105年:內專
63歲女性病人因風濕性心臟病換過二尖瓣瓣膜,心律不整長期使用藥物。因為喘的情形加劇,CXR及電腦斷層如圖示,下列何者為是?
A為典型的 Interstitial Lung Disease,可以是idiopathic pulmonary fibrosis。
B肺部有許多小點,Miliary TB無法排除。
CX光及電腦斷層有許多的線條,可以是kerley line 應為肺水腫。
D無顯影劑肝臟卻明顯較亮要考慮Amiodarone 造成的 Interstitial Lung Disease。
E有許多的點跟線,應考慮肺癌合併 lymphangitis carcinomatosis。
詳細解析
本題觀念:
本題考查長期服用 Amiodarone(一種碘含量達 40% 的抗心律不整藥物)的病患出現喘氣加劇時,如何根據胸部 X 光(CXR)、胸部電腦斷層(CT)及腹部 CT 的綜合影像特徵,診斷「Amiodarone 誘發的間質性肺病(Amiodarone-induced interstitial lung disease, AILD)」並與其他間質性肺病做鑑別。
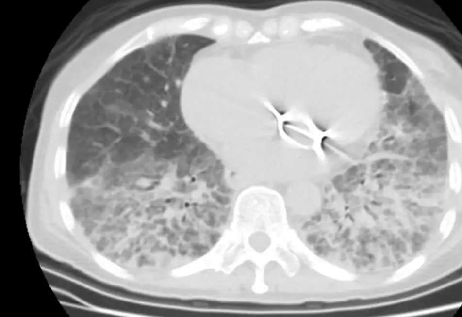
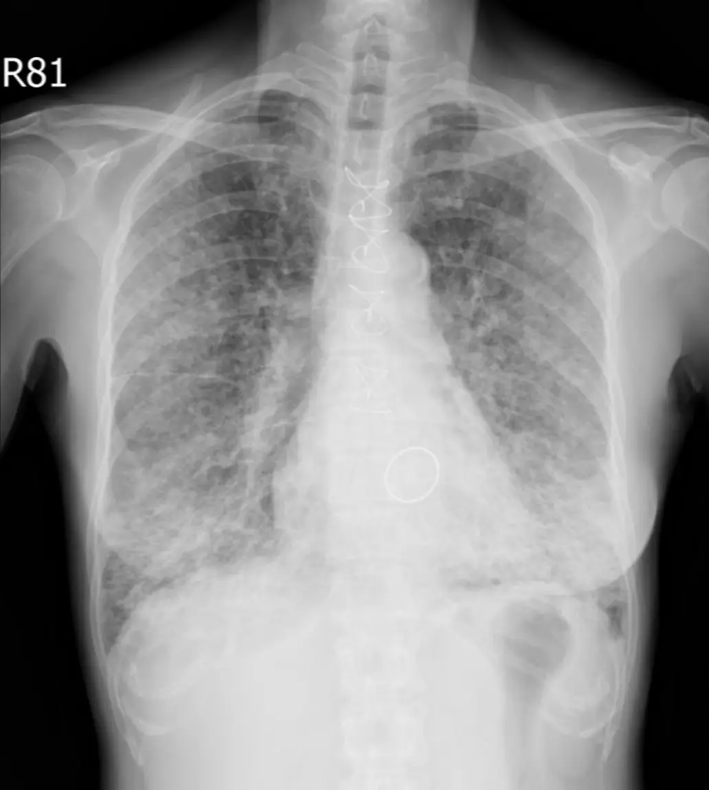
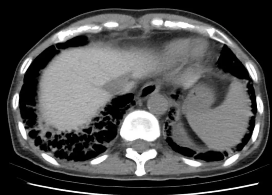
影像分析:
圖一(胸部 X 光,正面): 雙側肺野可見瀰漫性網狀-線條狀(reticular-linear)浸潤,以中下肺野為著,右側稍重於左側。可見明顯的間質性增厚線條,符合 Kerley B line 樣外觀,但分布更瀰漫,延伸至全肺野,不像單純心因性肺水腫侷限在下肺野。心臟左側可見金屬人工瓣膜(mechanical heart valve)的顯影縫環,符合病史中的二尖瓣換瓣手術。無局部實變(consolidation)、無明顯空洞或粟粒狀小結節。整體影像提示瀰漫性間質性病變而非局部感染。
圖二(腹部電腦斷層,無顯影劑): 此圖是本題最關鍵的影像。肝臟實質(右側大葉)在無顯影劑的情況下呈現明顯高衰減(high attenuation / hyperdense),亮度遠高於正常肝臟,甚至較脾臟更亮。這是 Amiodarone 及其代謝物(desethylamiodaro
...(解析預覽)...

升級 VIP 解鎖圖文解析