107年:放射診斷(1)
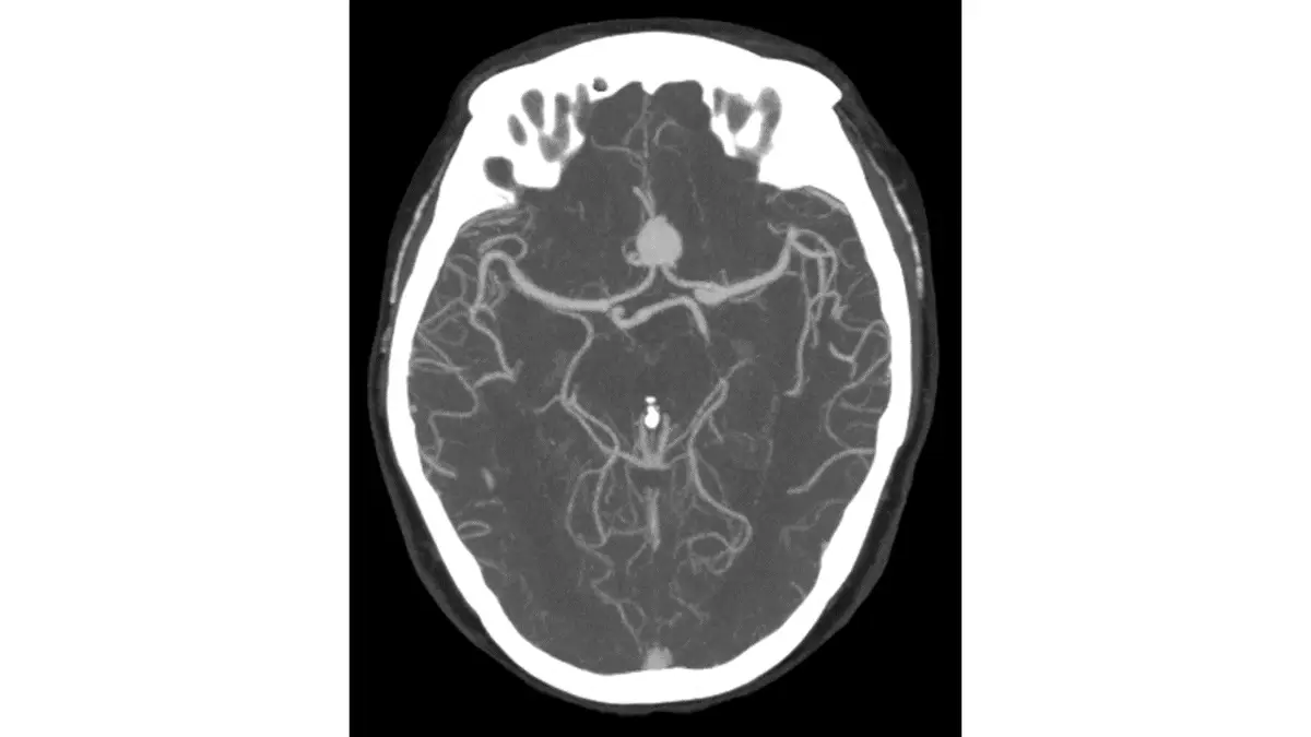
頭部電腦斷層血管攝影呈現如下圖,下列有關影像重組那一項最正確? 
Avolume rendering
Bsurface shaded display
Cmaximum intensity projection
Dcurve planar reconstruction
詳細解析
本題觀念:
頭部電腦斷層血管攝影(CT angiography, CTA)在取得原始斷層資料後,可透過多種**影像重組(image reconstruction)**技術呈現血管結構。本題考查各重組方式的特性及其典型外觀,尤其是最大密度投影(maximum intensity projection, MIP)的識別。
影像分析:
圖示為頭部 CTA 的**軸向(axial)**斷層影像:
- 背景呈純黑色
- 腦部血管(動脈及分支)呈現亮白色細線狀結構,遍布整個腦部橫斷面
- 可見 Willis 環(circle of Willis)的主要分支、大腦前動脈、大腦中動脈、大腦後動脈等
- 骨骼結構(顱骨)顯示為白色外框,腦實質呈均勻灰色背景
- 血管細節清晰,可見末梢小血管分支
- 整體呈現為2D 投影影像,血管在所有深度中均同時呈現(無立體感),具有「將最高密度值投影到平面」的特徵
此外觀為**最大密度投影(MIP)的典型呈現:沿投影方向選取每條射線上密度值最高的體素(voxel)**投影到影像平面,使含碘造影劑的高密度血管突出顯示,背景組織被抑制。
選項分析
(A) volume rendering ❌ 體積成像(volume rendering, VR)是將所有體素的密度資訊以半透明彩色 3D 立體影像方式
...(解析預覽)...

升級 VIP 解鎖圖文解析