107年:放射診斷(1)
下圖箭號所指最可能的解剖部位為何? 
A肺動脈 ( pulmonary artery )
B肺靜脈(pulmonary vein )
C升主動脈 ( ascending aorta )
D上腔靜脈( superior vena cava )
詳細解析
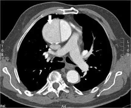
本題觀念:
胸部電腦斷層(CT)的橫斷面(軸位)影像辨識大血管解剖位置,是醫事放射師必備的基礎知識。升主動脈(ascending aorta)、主肺動脈(main pulmonary artery)、上腔靜脈(superior vena cava)及肺靜脈(pulmonary vein)在橫斷面上各有固定的相對位置,需熟悉其空間關係才能正確辨識。
影像分析:
本圖為靜脈顯影劑注射後的胸部增強 CT(contrast-enhanced chest CT),為橫斷面軸位影像(axial view),掃描層面位於心臟及大血管層級,右側標記為 R、左側標記為 L(影像右下角見「A4」層面標示)。
圖中可見以下主要結構(由前至後、由右至左):
- 前方正中偏右(白色箭號所指):一個大型、圓形、對比劑均勻強化的血管結構,其位置位於心臟前縱隔正中偏右的位置,管腔大、增強顯著 — 此為升主動脈。
- 升主動脈左後方:略橢圓形、較升主動脈偏左的大血管 — 此為主肺動脈(main pulmonary artery)。
- 升主動脈右側:較細的圓形血管結構 — 此為上腔靜脈(SVC)。
- 後方正中偏左:圓形血管,為降主動脈(descending aorta)。
白色箭號明確指向位於前縱隔中央偏右的最大、最亮增強之圓形血管,即升主動脈
...(解析預覽)...

升級 VIP 解鎖圖文解析