106年:(醫檢)病生理(2)
如附圖之超音波圖像 ,是何種超音波假影( artifact )? 
A鏡面效果( mirror image )
B音影(acoustic shadow )
C回音增強( echo enhancement )
D多重回音( reverberation )
詳細解析
本題觀念:
超音波假影(ultrasound artifact)是指超音波影像中出現的非真實結構或訊號,由超音波物理特性所造成。本題考核四種常見假影的辨識:鏡面效果(mirror image)、音影(acoustic shadow)、回音增強(echo enhancement)和多重回音(reverberation)。能夠正確辨識這些假影,對於醫事檢驗師避免誤診至關重要。
影像分析:
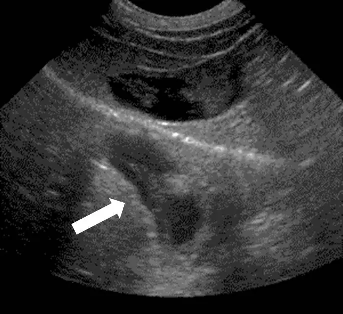
本題超音波圖像為右上腹掃描(right upper quadrant scan),可觀察到以下特徵:
- 上方區域:顯示正常肝臟實質(hepatic parenchyma),呈現均勻的中等回聲紋路;中央可見一黑色無回聲(anechoic)的橢圓形結構,為膽囊(gallbladder)。
- 中央強回聲弧線:橫跨圖像中部有一條明亮、高回聲的弧形線,為橫膈膜(diaphragm)與下方肺部-空氣界面,這是超音波波束的強反射面。
- 下方區域(白色箭頭指示):橫膈膜下方出現一片與上方肝臟實質高度對稱、外觀相似的回聲紋路區域。這並非真實組織,而是肝臟影像被「鏡射」到橫膈膜另一側所產生的假影。
關鍵識別特徵:真實肝臟在橫膈膜上方,而下方出現的「肝臟」對稱影像即為鏡面效果假影。白色箭頭明確指向此鏡射區域。若為音影則是強回聲體後方的無聲黑色區域;若
...(解析預覽)...

升級 VIP 解鎖圖文解析