106年:(醫檢)血液(2)
承上題【一位 75 歲的男性病患, CBC 檢查結果 Hb=13.5 g/dL 、WBC=150,000/ µL、platelet=80,000/ µL;血液抹片如下圖,則此血液抹片可觀察到那些異常現象? ①lymphocytosis ②increased smudge cells ③prolymphocytes ④Reed-Sternberg cells⑤Faggot cells】,此人的 flow immunophenotyping 的結果如下圖,則下列何種細胞標記的結果正確?

ACD5( -)、CD19( +)、CD23( -)、FMC7( +)、KAPPA( -)、LAMBDA( +)
BCD5( +)、CD19( +)、CD23( +)、FMC7( -)、KAPPA( +)、LAMBDA( -)
CCD5( -)、CD19( +)、CD23( +)、FMC7( -)、KAPPA( -)、LAMBDA( -)
DCD5( -)、CD19( -)、CD23( -)、FMC7( +)、KAPPA( -)、LAMBDA( +)
詳細解析
本題觀念:
本題考核慢性淋巴球性白血病(chronic lymphocytic leukemia, CLL)的流式細胞術(flow cytometry)免疫表現型特徵。考生需從 flow immunophenotyping 散點圖中判讀各標記的陽性/陰性結果,並與已知疾病的典型免疫表現型比對,選出正確的細胞標記組合。
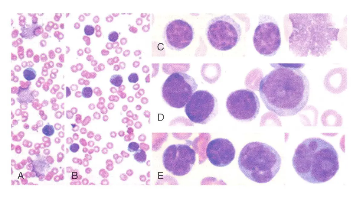
影像分析:
第一張圖(血液抹片):包含多個高倍鏡視野(A-E),顯示大量小型成熟淋巴球(small mature lymphocytes),核染色質緻密深染(condensed chromatin),核仁不明顯,細胞質極少。視野 B 中可見典型的 smudge cells(籃狀細胞),這是 CLL 最具特徵性的抹片所見。整體呈現明顯的淋巴球增多症(lymphocytosis),與題目背景(WBC=150,000/µL)吻合。
第二張圖(Flow cytometry 散點圖):共五個散點圖:
- FSC vs SSC(散射圖):Gate A 圈選出 92.7% 的細胞群,顯示這群細胞散射特性均一,符合淋巴球群體。
- CD5 PC6 vs CD19 ECD:細胞群集中於 E2 象限(右上),表示 CD5(+)、CD19(+) — B 細胞異常共同表現 T 細胞標記 CD5,此為 CLL 的標誌性特徵。
...(解析預覽)...

升級 VIP 解鎖圖文解析