106年:放射診斷(2)
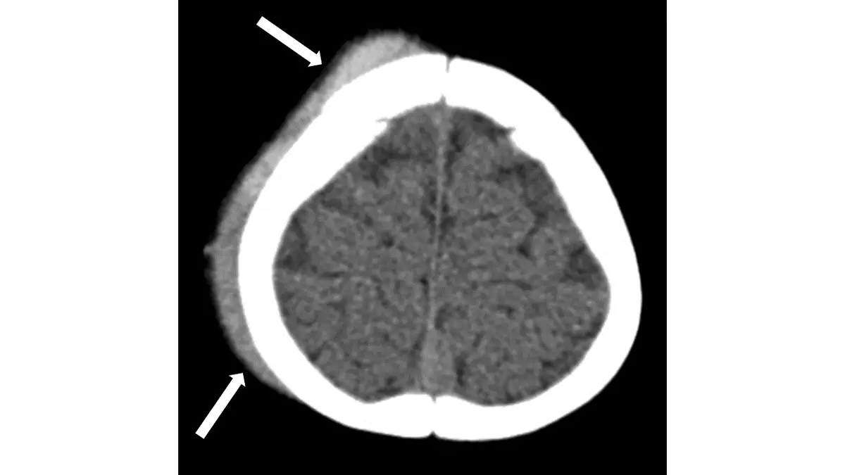
頭部外傷病人電腦斷層攝影呈現如下圖,下列有關箭號的敘述何者最正確? 
A硬腦膜上血腫
B硬腦膜下血腫
C蜘蛛網膜下血腫
D頭皮下血腫
詳細解析
本題觀念:
頭部外傷電腦斷層(head CT)中,不同類型顱內外出血的影像辨識與鑑別——本題重點為頭皮下血腫(scalp hematoma / subgaleal hematoma)的特徵性外觀,及其與硬腦膜上血腫、硬腦膜下血腫、蜘蛛網膜下血腫的區別。
影像分析:
本題影像為頭部外傷後的非增強電腦斷層(NECT)橫斷面,可見:
- 白色箭號(兩個)所指位置:位於左側頭部顱骨(calvarium/skull)外側,可見明顯高密度(白色/亮白)的局部軟組織腫塊。此高密度區域位於顱骨外板(outer table)之外,在頭皮軟組織層內,屬於顱骨外的結構。
- 顱骨:顯示為高密度骨性結構(白色),兩側對稱,未見明顯骨折線(但需仔細評估)。
- 顱內:腦實質密度均勻,大腦鐮(falx)可見,未見明顯顱內高密度血腫(無透鏡形或新月形顱內血腫)。
- 左側頭皮層:可見與顱骨外板緊貼的高密度腫塊,形狀較局限,位於頭皮之中,為急性血液的高密度表現(CT 值約 40–60 HU)。
關鍵判斷:箭號所指的高密度結構完全位於顱骨外側(顱外),而非在顱骨與硬腦膜之間(硬腦膜上血腫),也非在硬腦膜下腔(硬腦膜下血腫),更非在蜘蛛網膜下腔。此為頭皮下血腫的典型表現。
選項分析
**(A) 硬腦膜上血腫(epidural hem
...(解析預覽)...

升級 VIP 解鎖圖文解析