106年:放射診斷(2)
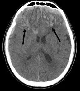
頭部外傷的病人, CT 影像如下圖,箭號所指的是: 
A硬腦膜上血腫( epidural hematoma ,EDH )
B硬腦膜下血腫( subdural hematoma ,SDH )
C硬腦膜下積水( subdural effusion ,SDE )
D挫傷性腦內出血( contusion intracerebral hemorrhage ,ICH )
詳細解析
本題觀念:
頭部外傷後常見的顱內出血類型包括:硬腦膜外血腫(epidural hematoma, EDH)、硬腦膜下血腫(subdural hematoma, SDH)、硬腦膜下積水(subdural effusion, SDE),以及挫傷性腦內出血(contusion intracerebral hemorrhage, ICH)。本題考核在 CT 影像上如何區分這四種病灶的特徵性表現。
影像分析:
本題 CT 影像為非強化(plain)頭部 CT,可見以下特徵:
- 病灶位置:兩側大腦半球前部(雙側額葉、顳葉交界區)有多處高密度病灶,箭號分別指向左側與右側的病灶。病灶位於腦實質內部,而非顱骨內板與硬腦膜之間,也非硬腦膜下腔。
- 病灶形態:影像顯示病灶呈斑塊狀、不規則形,並非鏡頭形(lenticular/biconvex)或月牙形(crescentic),這一點非常重要。
- 密度特徵:病灶呈高密度(hyperdense),代表急性出血,與周圍較低密度的腦實質形成對比。
- 分布特點:雙側前顳葉/下額葉是腦挫傷最常見的好發部位,因顱骨底部粗糙骨面(蝶骨嵴、顳骨岩部)的剪切力所致,符合典型的 coup-contrecoup(衝擊-對衝) 機制。
- 無明顯周邊集血:顱骨內板與腦表面之間並無呈現典型
...(解析預覽)...

升級 VIP 解鎖圖文解析