106年:放射診斷(2)

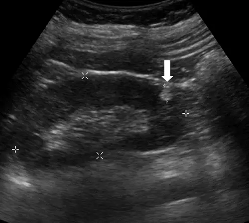
下圖為超音波影像,箭號所指處最可能為下列何者? 圖片

A結石(stone )
B血管平滑肌脂肪瘤( angiomyolipoma )
C水囊(cyst )
D過渡細胞癌( transitional cell carcinoma )

詳細解析

本題觀念:

腎臟超音波影像判讀,重點在於辨識腎臟高回音(hyperechoic)局部病灶的超音波特徵,並進行鑑別診斷,尤其區分血管平滑肌脂肪瘤(angiomyolipoma, AML)、腎細胞癌(renal cell carcinoma, RCC)、水囊(cyst)及結石(stone)。

影像分析:

本題超音波影像為腎臟掃描,白色箭號指向腎臟實質內一個邊界清楚、明顯高回音(markedly hyperechoic)的局部病灶。

影像重要觀察:

  • 回音強度:病灶回音強度明顯高於周圍腎實質,其亮度接近腎竇脂肪(renal sinus fat)的回音強度,呈現極高回音
  • 聲影(posterior acoustic shadow):病灶後方無明顯聲影,排除結石的可能性(結石後方應有清晰強聲影)
  • 內部回音:病灶內部呈均勻高回音,無囊性暗區,排除水囊(anechoic with posterior enhancement)
  • 邊界:病灶邊界尚清楚,無低回音暈環(hypoechoic rim,此為 RCC 的特徵之一)
  • 形態:病灶相對小型,與腎實質邊界清楚

綜合以上特徵——極高回音 + 無聲影 + 無囊性成分 + 無低回音暈環——最符合脂肪豐富型血管平滑肌脂肪瘤(fat-rich AML)

...(解析預覽)...