106年:放射診斷(1)
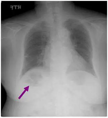
一中年女性因發燒及腹痛至醫院掛急診並 接受 X 光檢查 ,下列中何者為 箭號所示最可能的診斷: 
A肺膿瘍
B肝腫瘤
C肝膿瘍
D氣胸
詳細解析
本題觀念:
本題考察胸腹部 X 光片對肝膿瘍(hepatic abscess)的影像判讀能力。中年女性出現發燒與腹痛,是肝膿瘍的典型臨床表現,搭配影像所見可做出診斷。
影像分析:
本張為胸腹部正面 X 光片(PA chest/abdominal radiograph)。箭號指向右上腹(右季肋區)一個圓形、邊界相對清晰的病灶,病灶位於右側橫膈膜下方(subphrenic region)、對應肝臟投影區域。可見該病灶呈現氣液面(air-fluid level)特徵——氣體(低密度)浮於液體(較高密度)之上,形成水平分界線,提示病灶內有產氣菌或壞死液化伴氣體積聚,此為肝膿瘍的特徵性 X 光表現之一。此外,右側橫膈膜有輕度抬高,符合肝臟病灶壓迫或橫膈膜刺激的間接徵象。病灶位置與肺部不符(未見肺實質中央性透亮腔),可排除肺膿瘍。
選項分析
(A) 肺膿瘍 肺膿瘍(lung abscess)的 X 光表現為肺實質內的透亮空洞,伴有氣液面,位於肺葉內(常見右下葉)。本題箭號所指病灶位於橫膈膜下方的肝臟區域,並非肺實質內,故不符。
(B) 肝腫瘤 肝腫瘤(hepatic tumor)在 X 光片上通常僅呈現肝臟輪廓增大或鈣化,不會出現氣液面。本題病灶有明顯氣液面,不符合腫瘤表現。
(C) 肝膿瘍 ✅ 正確答案 肝膿瘍(hepatic
...(解析預覽)...

升級 VIP 解鎖圖文解析