106年:放射診斷(1)

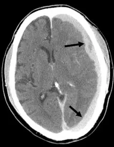
頭部外傷的病人, CT 影像如下圖,箭號所指的是: 圖片

A硬腦膜上血腫( epidural hematoma ,EDH )
B硬腦膜下血腫( subdural hematoma ,SDH )
C硬腦膜下積水( subdural effusion ,SDE )
D挫傷性腦內出血( contusion intracerebral hemorrhage )

詳細解析

本題觀念:

本題考察頭部外傷後腦部 CT 的影像判讀,重點在辨別硬腦膜上血腫(epidural hematoma, EDH)、硬腦膜下血腫(subdural hematoma, SDH)、硬腦膜下積水(subdural effusion, SDE)及挫傷性腦內出血(contusion intracerebral hemorrhage)的 CT 特徵差異。

影像分析:

本張為頭部 CT 無對比劑橫切面(non-contrast CT, NCCT)。兩個箭號分別指向雙側大腦半球顱骨內板下方的新月形(crescent-shaped)高密度病灶:

  • 形態:病灶呈新月形,沿腦表面分布,內緣凹向腦實質,符合硬腦膜下腔積血的形態。並非雙凸(biconvex/lentiform)形,可排除硬腦膜上血腫(EDH)。
  • 密度:病灶呈高密度(hyperdense,接近白色),代表急性出血(新鮮血液中血紅素密度約 60–80 HU)。
  • 分布:病灶跨越顱縫(不受顱縫限制),沿顱骨內板走行;SDH 因出血在硬腦膜與蜘蛛膜之間的硬腦膜下腔,可自由跨越顱縫,與 EDH(受顱縫限制)形成對比。
  • 雙側性:兩側均可見病灶,約 20% 的硬腦膜下血腫為雙側性,雙側對稱時可能無明顯中線偏移,增加診斷難度。

綜合以上特徵,影像表現最符合**雙側急性硬腦膜下血腫(

...(解析預覽)...