106年:放射診斷(1)
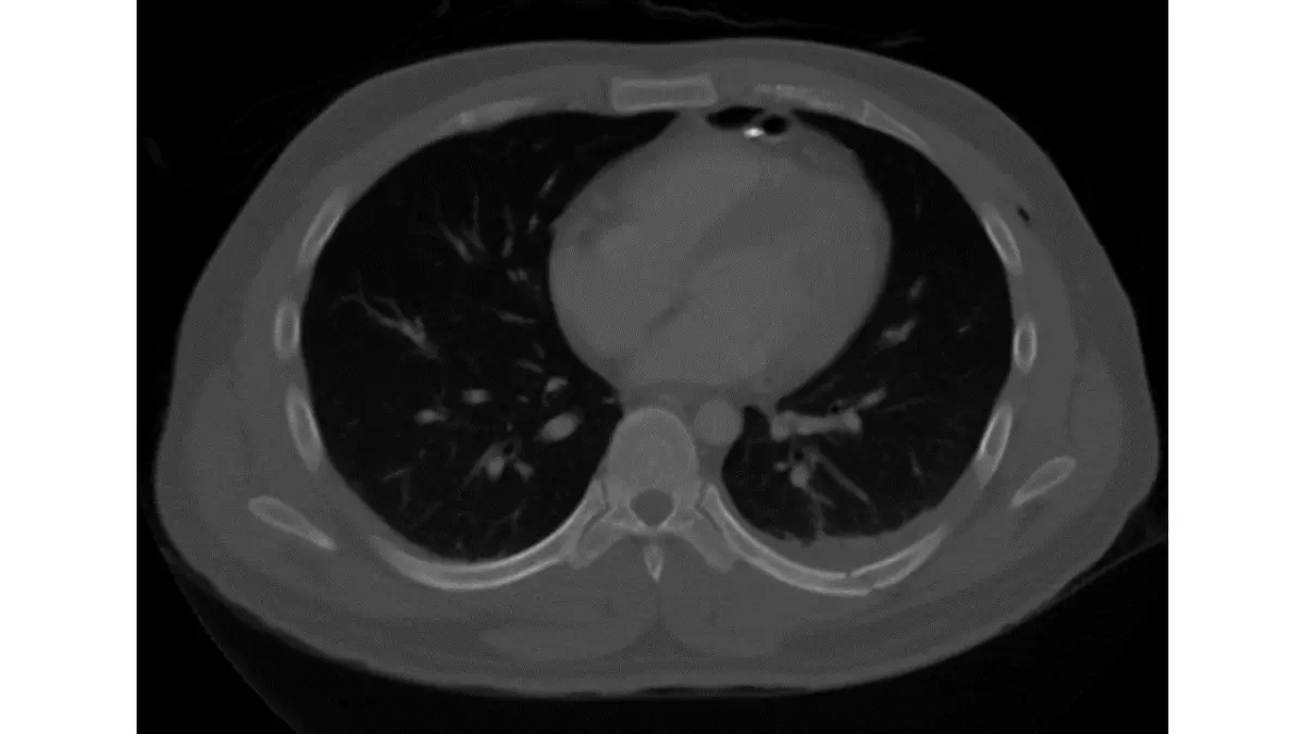
胸部電腦斷層攝影呈現如下圖,下列那一項最正確? 
Amediastinal window
Blung window
Cbone window
Dpleural window
詳細解析
本題觀念:
電腦斷層攝影(computed tomography, CT)的視窗設定(windowing)是影像判讀的基礎技術。本題考核考生辨識不同窗寬/窗位設定下影像外觀的能力,尤其是骨骼窗(bone window)在胸部 CT 的典型表現。
影像分析:
本圖為胸部 CT 軸位(axial)切面。觀察重點如下:
-
骨骼表現:肋骨和胸椎椎體呈亮白色,且骨皮質(cortex)與骨髓腔(medullary cavity)之間的皮髓質分界(corticomedullary junction)清晰可辨。骨骼細節(如皮質厚度、小梁骨紋理)得到優化顯示,這是骨骼窗的典型特徵。
-
肺野表現:兩側肺野呈深黑色。這是因為骨骼窗的窗位(window level, WL)設定偏高(約 +300 至 +400 HU),窗寬(window width, WW)極寬(約 1500–2000 HU),顯示範圍約為 至 HU。肺組織的 HU 值約在 至 HU,落在顯示範圍下緣或以下,因此呈黑色。
-
縱膈腔表現:心臟和大血管等縱膈腔軟組織結構呈灰白色,但細節分辨能力相對不如縱膈腔窗(mediastinal window)。
-
整體判讀:骨骼細節清楚、皮髓質分界明顯、肺野
...(解析預覽)...

升級 VIP 解鎖圖文解析