106年:放射診斷(1)

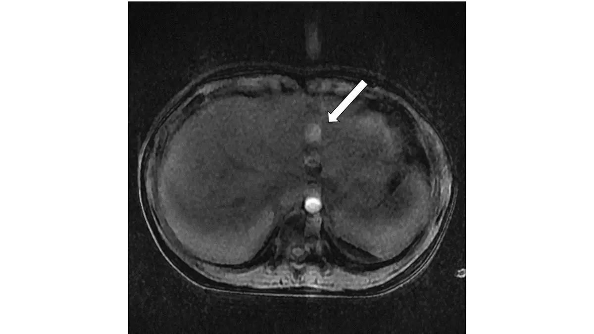
磁振造影檢查呈現如下圖,下列有關箭號所指之敘述何者最正確? 圖片

A肝臟腫瘤
Bflow 假影
Caliasing 假影
D膽結石

詳細解析

本題觀念:

本題考查磁振造影(magnetic resonance imaging, MRI)中的流動假影(flow artifact),特別是主動脈搏動引起的鬼影(ghosting artifact)。能夠辨認 flow artifact 並與真實病灶區別,是放射師重要的基礎技能。

影像分析:

本圖為腹部 MRI 橫切面影像,可見右側肝臟和左側脾臟。白色箭頭指向椎體前方、主動脈旁一個高訊號(bright signal)的圓形影,位置緊鄰主動脈。此影像特點如下:

  • 位置:在相位編碼(phase encoding)方向上,與主動脈形成一定間隔的高訊號影
  • 形態:邊緣清晰,形狀規則,與主動脈本身的訊號特性相似
  • 機制:主動脈血流為搏動性(pulsatile flow),血流在不同心動週期階段有不同的相位偏移,導致相位編碼方向產生規則間隔的鬼影(ghost image)。此現象稱為 flow artifact 或 phase-encoded motion artifact
  • 鑑別要點:真正的肝臟腫瘤或膽結石不會出現在血管旁並呈現此種規則性高訊號模式;aliasing 假影(折返假影)則表現為影像在 FOV 邊緣折回,形態不同

選項分析

(A) 肝臟腫瘤:腫瘤為實質性病灶,通常有佔位效應、訊號不均勻,且位於肝臟實

...(解析預覽)...