106年:放射診斷(1)
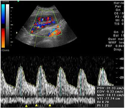
下圖為移植腎之彩色都卜勒超音波圖,下方黃色箭頭所指之頻譜為何? 
Amirror image artifact
Baliasing artifact
C正常之腎葉間靜脈( interlobar vein )
D正常之腎節動脈( segmental artery )
詳細解析
本題觀念:
移植腎(transplant kidney)彩色都卜勒超音波中,辨識腎葉間靜脈(interlobar vein)的頻譜特徵,並與腎節動脈(segmental artery)及都卜勒假影(mirror image artifact、aliasing artifact)進行鑑別。
影像分析:
本圖為移植腎彩色都卜勒超音波(color Doppler ultrasound of transplanted kidney):
彩色都卜勒影像(上半部):
- 移植腎呈扇形掃描區域,腎內可見紅色(朝向探頭)與藍色(遠離探頭)血流訊號分布
- 腎實質內血管分布正常,可見弓形及葉間血管樹
頻譜都卜勒(下半部):
- 頻譜主體呈基線以上的高起伏動脈型波形:有明顯收縮期峰值,舒張期維持正向血流
- 數據標示:PSV -31.33 cm/s、EDV -9.33 cm/s、RI 0.70、PI 1.22(速度值為負號,代表血流方向遠離探頭)
- 黃色箭頭(▲)指向基線以下的較平坦、低速、連續性波形
- 此基線下方波形:速度低(< 10 cm/s)、波形連續且平緩、無明顯搏動性起伏 → 典型靜脈頻譜特徵
比對動脈波形(基線以上)與靜脈波形(基線以下):兩者同時出現在同一取樣容積(sample volume)內,代表取樣閘門(gate)
...(解析預覽)...

升級 VIP 解鎖圖文解析