106年:放射診斷(1)
下圖之超音波影像中,最可能的診斷為下列何者? 
A肝硬化
B急性肝炎
C局部結節性增生
D脂肪肝
詳細解析
本題觀念:
本題考核超音波影像判讀能力,重點在於辨識肝硬化(liver cirrhosis)在灰階超音波上的典型影像特徵,並與其他肝臟瀰漫性病變(急性肝炎、脂肪肝、局部結節性增生)進行鑑別診斷。
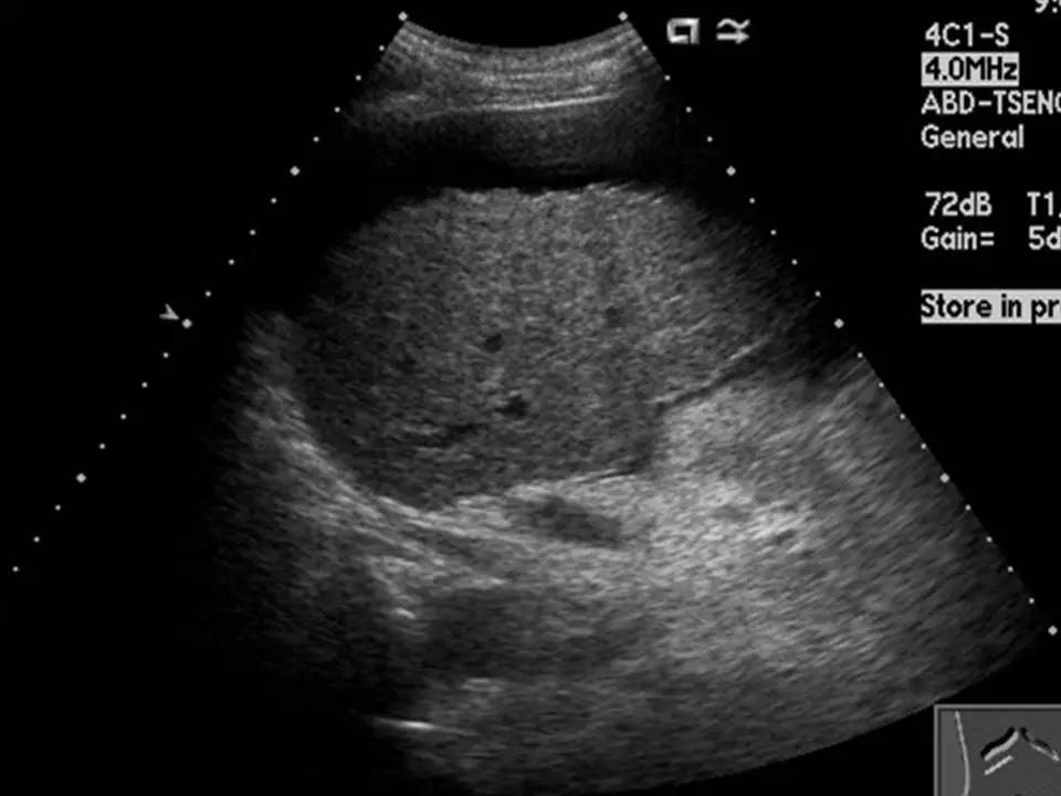
影像分析:
本題超音波影像(探頭:4C1-S,頻率:4.0 MHz,腹部一般掃描)顯示以下特徵:
- 肝臟實質回音紋理:整體呈現明顯粗糙不均質的回音紋理(coarse heterogeneous echotexture),正常肝臟的均勻細緻回音結構已完全消失,代之以不規則的粗粒狀回音分布。
- 表面輪廓:肝臟表面不規則,可見輪廓凹凸不平,符合肝硬化表面結節化(surface nodularity)的特徵。
- 肝臟體積與形態:右葉有縮小傾向,整體肝臟輪廓失去正常圓弧形,邊緣較為鈍化。
- 血管結構:肝內血管(肝靜脈、門脈)邊界模糊,不如正常肝臟清晰可辨。
- 無明顯局灶性病灶:未見明確單一結節性病灶,排除局部結節性增生的典型表現。
上述影像特徵組合(粗糙不均質回音 + 表面不規則 + 右葉萎縮)高度提示肝硬化的診斷。
選項分析
(A) 肝硬化 肝硬化在超音波的典型三大特徵:
- 粗糙不均質回音(coarse heterogeneous echotexture):肝臟纖維化及再生結節取代正常肝
...(解析預覽)...

升級 VIP 解鎖圖文解析