106年:放射診斷(1)
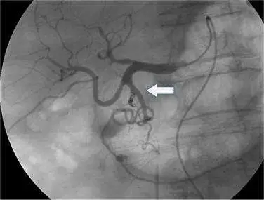
下圖中箭號所顯示為那一條血管出血? 
A左胃動脈( left gastric artery )
B肝總動脈( common hepatic artery )
C右肝動脈( right hepatic artery )
D胃十二指腸動脈( gastroduedenal artery )
詳細解析
本題觀念:
本題考上腹部血管攝影解剖,重點為腹腔動脈幹(celiac trunk)分支辨識,特別是胃十二指腸動脈(gastroduodenal artery, GDA)在血管造影影像中的位置特徵及其出血的臨床意義。
影像分析:
圖片為數位減影血管攝影(digital subtraction angiography, DSA)影像,顯示腹腔動脈幹及其分支系統。白色箭號指向影像中央偏下方的一條迂曲血管,該血管:
- 位於肝總動脈(common hepatic artery)分出後向下方走行
- 呈現迂曲蜿蜒形態,並可見造影劑異常積聚(出血徵象)
- 血管走行方向為向下、朝向十二指腸及胰頭區域
- 此走行方向不符合左胃動脈(向左上)或肝動脈(向右上)的典型走行
根據解剖位置及走行方向,箭號所指為**胃十二指腸動脈(gastroduodenal artery)**出血,可見造影劑外滲形成的血管外積聚影像。
選項分析
(A) 左胃動脈(left gastric artery):左胃動脈通常為腹腔幹第一分支,向左上方走行沿胃小彎供血。影像中箭號所指血管向下走行,方向不符。
(B) 肝總動脈(common hepatic artery):肝總動脈為腹腔幹分支,向右走行分為固有肝動脈與胃十二指腸動脈。箭號位置在分叉點之後的向下血管,非肝總動
...(解析預覽)...

升級 VIP 解鎖圖文解析