106年:放射診斷(1)
承上題【56 歲肺癌男性,最近兩天頭痛,肢體無力, CT 顯示右側腦部白質( white matter )一片低密度區域, 請問這低密度區域所指主要為何?】,下一步應做什麼? 
A注射含碘對比劑 CT
B再以 2 mm 細切,重做 CT
C加做冠狀切面 CT
D不必再做其他檢查
詳細解析
本題觀念:
腦轉移瘤(brain metastasis)的影像工作流程——非增強 CT 發現白質低密度區後,下一步應進行含碘對比劑增強 CT,以確認腫瘤強化型態並判定病灶範圍。
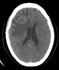
影像分析:
本圖為非增強腦部電腦斷層(non-contrast CT, NCCT)軸切面。影像可見右側大腦半球白質(white matter)呈現較大範圍低密度(hypodensity)改變,此為血管源性水腫(vasogenic edema)的典型 CT 表現——水腫沿白質纖維束擴散,皮質相對保留(手指狀分布)。中線結構無顯著偏移,腦室系統形態尚可辨認。
此 NCCT 所見提供了「有病灶、有水腫」的線索,但無法區分:
- 腦轉移瘤(metastasis)
- 高惡度膠質瘤(glioblastoma)
- 腦膿瘍(brain abscess)
- 脫髓鞘疾病(demyelinating disease)
因此需進一步做含碘對比劑增強 CT,觀察是否出現環形強化(ring enhancement)或均勻強化,以縮小鑑別診斷範圍。
選項分析
(A) 注射含碘對比劑 CT 正確。NCCT 發現白質低密度後,施打靜脈碘對比劑進行增強 CT(contrast-enhanced CT, CECT)是標準下一步。腦轉移瘤因血腦屏障(blood-brain barrier)破壞,靜脈注
...(解析預覽)...

升級 VIP 解鎖圖文解析