104年:醫學二(2)
一位生過三個小孩的 45 歲婦女來門診接受子宮頸抹片檢查,醫師在子宮頸口處發現有一個 1公分大小的囊腫,於是順便做病理切片檢查,切片之後傷口有一些清澈黏液流出來。顯微鏡下發現這些囊腫的上皮為單層立方或柱狀上皮(附圖),則最有可能的診斷為: 
A疱疹性子宮頸炎( Herpes cervicitis )
B子宮頸上皮內贅生( cervical intraepithelial neoplasia, CIN )
C納波德氏囊腫( Nabothian cyst )
D毛滴蟲感染( Trichomonas infection )
詳細解析
本題觀念:
本題考察子宮頸常見囊腫的臨床與病理特徵。題目提供一個典型臨床情境:多產婦、子宮頸口處囊腫、切片後有清澈黏液流出、顯微鏡下見單層立方或柱狀上皮,此病理特徵配合臨床表現,為納波德氏囊腫(Nabothian cyst)的典型表現。
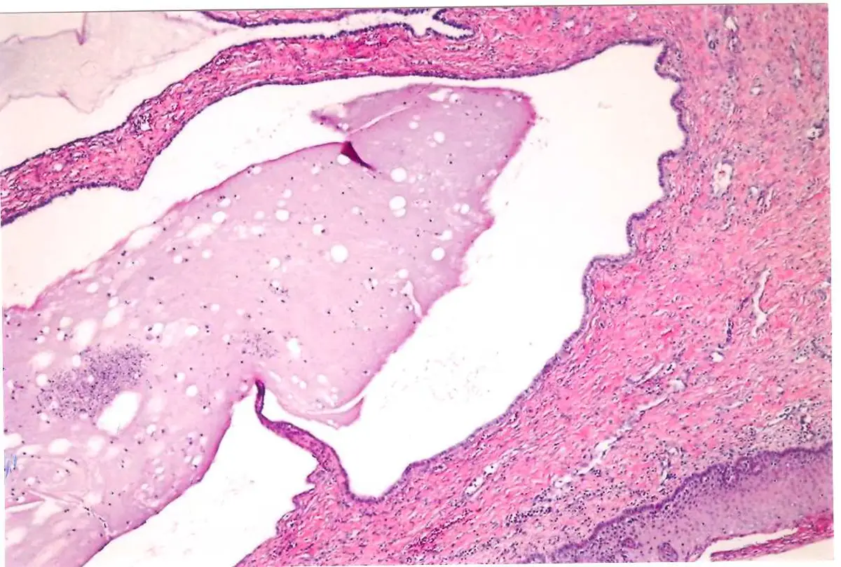
影像分析:
圖片為 H&E(蘇木精-伊紅)染色的組織切片,低倍鏡觀察:
- 囊腔結構:可見一個大型囊狀腔隙,腔內充滿淡染的均質黏液性分泌物(mucinous content),即清澈至淡粉色的膠狀物質
- 上皮襯裡:囊腔壁由單層扁平至立方/柱狀上皮覆蓋,細胞排列整齊,無細胞異型性(atypia)、無核分裂象(mitotic figure),細胞核小且基底化(basally located),符合黏液性柱狀上皮的特徵
- 間質:囊腔周圍為纖維性基質(fibrous stroma),可見少量慢性發炎細胞浸潤(lymphocytes),無明顯急性發炎或壞死
- 整體判讀:無細胞多形性、無腫瘤性增生、無病毒包涵體(inclusion body)、無滴蟲蟲體,完全符合良性黏液性瀦留囊腫(benign mucinous retention cyst)的形態,即納波德氏囊腫的典型病理影像。
選項分析
(A) 疱疹性子宮頸炎(Herpes cervicitis) 疱疹病毒(
...(解析預覽)...
![醫師[1] - 生殖系統與乳房病理 - AI 圖文解析預覽](/_next/image?url=https%3A%2F%2Fbgvxfcrmbdvefjhuvrmt.supabase.co%2Fstorage%2Fv1%2Fobject%2Fpublic%2Fvisual-explanations%2F1068%2F71100_t6e230p6p.webp&w=3840&q=75)
升級 VIP 解鎖圖文解析