105年:醫學三(2)
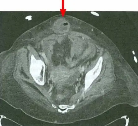
68 歲女性因肚臍周圍疼痛合併噁心嘔吐至急診,理學檢查發現體溫 37.5 ℃,且肚臍周圍有壓疼,血液檢查 WBC :14500/µL ,分類 segment :85% ,腹部電腦斷層結果如圖,最可能的診斷為何? 
Aacute appendicitis
Bventral hernia
Cacute diverticulitis
Dadynamic ileus
詳細解析
本題觀念:
本題考查急性腹痛的鑑別診斷,重點在於能否結合臨床表現(肚臍周圍疼痛、噁心嘔吐、發燒、白血球升高)與腹部電腦斷層(CT)影像,正確辨識腹壁疝氣(ventral hernia)的典型表現。
影像分析:
CT 橫切面(axial section)顯示骨盆腔至下腹部層面,紅色箭頭指向前腹壁正中線(midline)臍部位置,可見一個小型囊袋狀結構自腹壁缺損處向外突出,內含脂肪密度組織(omental fat),周圍可見輕微脂肪浸潤(fat stranding),提示為臍疝或旁臍疝(umbilical/paraumbilical hernia),且有嵌頓(incarceration)跡象。腹腔內其他器官(如闌尾區域、結腸)於此切面未見明顯炎性改變,未見闌尾腫大或憩室炎影像。
選項分析
(A) acute appendicitis(急性盲腸炎) 急性盲腸炎(acute appendicitis)的典型表現為疼痛由臍周轉移至右下腹(McBurney's point),CT 上可見闌尾增粗(直徑 > 6 mm)、周圍脂肪浸潤、闌尾石等。本題 CT 影像顯示的病灶位於前腹壁臍部,而非右下腹,且無闌尾相關影像學異常,故不符合。
(B) ventral hernia(腹壁疝氣) ✅ 正確答案 腹壁疝氣(ventral her
...(解析預覽)...
![醫師[2] - 下消化道疾病 - AI 圖文解析預覽](/_next/image?url=https%3A%2F%2Fbgvxfcrmbdvefjhuvrmt.supabase.co%2Fstorage%2Fv1%2Fobject%2Fpublic%2Fvisual-explanations%2F1071%2F71330_t1w4n1f2z.webp&w=3840&q=75)
升級 VIP 解鎖圖文解析