105年:醫學五(2)
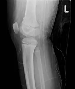
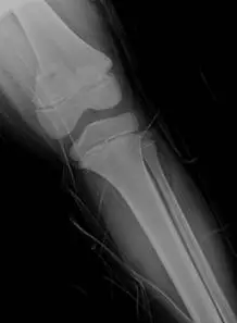
10 歲男童從滑梯跌落以左膝著地,由於膝部疼痛腫脹,父母帶他來急診求診,並接受 X光檢查,由此 X光影像,顯示他發生了何種的生長板傷害?

ASalter-Harris 第一型
BSalter-Harris 第二型
CSalter-Harris 第三型
DSalter-Harris 第四型
詳細解析
本題觀念:
本題考的是兒童生長板骨折(physeal fracture)的 Salter-Harris 分類。10 歲男童從滑梯跌落以左膝著地,X 光影像顯示骨折線通過生長板(physis)並延伸至幹骺端(metaphysis),此為 Salter-Harris 第二型的典型表現。
影像分析:
影像一(側位,oblique view): 左膝關節 X 光側位,可見遠端股骨(distal femur)或近端脛骨(proximal tibia)生長板區域有骨折線。骨折線沿生長板水平走向,並伴隨一個三角形幹骺端骨片(metaphyseal corner fragment,又稱 Thurston Holland fragment),此為骨折線從生長板轉向幹骺端所造成的特徵性碎片。骨骺(epiphysis)本身結構完整,關節面未受波及。
影像二(正位,AP view,標記 L): 左膝正位影像,可更清楚看到骨折線同時涉及生長板與幹骺端的一角,骨骺端無明顯骨折線延伸,關節腔無明顯異常。整體影像符合骨折線通過生長板 + 幹骺端角落的 Salter-Harris 第二型特徵。
選項分析
(A) Salter-Harris 第一型 第一型骨折線只通過生長板(S 型,Straight through physis),不涉及幹骺端或骨骺。X
...(解析預覽)...
![醫師[2] - 下肢與軸性骨折 - AI 圖文解析預覽](/_next/image?url=https%3A%2F%2Fbgvxfcrmbdvefjhuvrmt.supabase.co%2Fstorage%2Fv1%2Fobject%2Fpublic%2Fvisual-explanations%2F1073%2F71464_t3m022u4p.webp&w=3840&q=75)
升級 VIP 解鎖圖文解析