105年:醫學五(2)

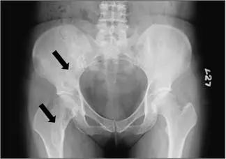
51 歲女性病人主訴右髖關節疼痛約 3週,附圖為骨盆 X光片,箭號所指處最可能的診斷為: 圖片

Afibrous dysplasia
Bbone metastasis
Cchondrosarcoma
Dosteosarcoma

詳細解析

本題觀念:

纖維性骨異生(fibrous dysplasia)是一種良性的骨骼發育異常,正常骨髓被纖維組織與不成熟的編織骨所取代,造成特徵性的影像表現。本題考核對骨盆 X 光上良性骨骼病灶的辨識能力,重點在辨別纖維性骨異生與惡性骨腫瘤的影像差異。

影像分析:

骨盆正位 X 光顯示左側髂骨及股骨近端(含股骨頸部位)有兩個箭號標示之病灶。病灶呈現以下特徵:

  • 密度:呈現典型的「毛玻璃樣(ground-glass)」密度,均勻、略高於正常骨髓但低於皮質骨,為纖維性骨異生的標誌性表現
  • 邊界:邊緣清楚,有硬化性邊界(rind sign),代表反應性骨形成包覆病灶
  • 骨皮質:骨皮質完整,無破壞或穿透,無骨膜反應(periosteal reaction)
  • 軟組織:無軟組織腫塊延伸
  • 位置:病灶位於髂骨及股骨近端,屬於纖維性骨異生好發部位
  • 骨骼變形:股骨近端可見輕度變形,符合纖維性骨異生因反覆承重導致變形的特性

上述影像特徵(毛玻璃密度 + 邊界清楚 + 無骨膜反應 + 無軟組織侵犯)高度符合纖維性骨異生的典型表現。

選項分析

(A) fibrous dysplasia(纖維性骨異生) 正確答案。51 歲女性,右髖疼痛約 3 週(慢性病程)。X 光顯示骨盆左側骨骼病灶呈現毛玻璃樣密度,邊界清楚

...(解析預覽)...