105年:醫學五(2)
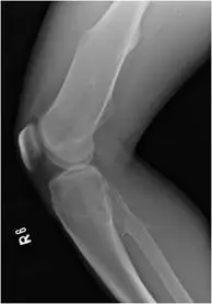
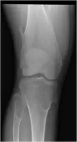
20 歲男性,因右膝受傷接受 X光攝影。附圖為 X光攝影影像,最可能的診斷為何?

Afibrous dysplasia
Bhereditary multiple exostoses
Costeogenic sarcoma
Deosinophilic granuloma
詳細解析
本題觀念:
遺傳性多發性外生骨疣(hereditary multiple exostoses, HME),又稱遺傳性多發性骨軟骨瘤(hereditary multiple osteochondromas, HMO),是一種體染色體顯性遺傳疾病,特徵為多個骨軟骨瘤在全身長骨的骨骺端(metaphysis)對稱性或不對稱性形成。本題考核膝關節 X 光上多發性骨突病灶的診斷辨識。
影像分析:
膝關節正位及側位 X 光顯示以下特徵:
正位(AP view):
- 股骨遠端及脛骨近端的骨骺端(metaphysis)可見多個骨性突起(bony exostoses/osteochondromas)
- 突起的骨皮質與骨髓腔與宿主骨(host bone)呈連續性延伸,此為診斷骨軟骨瘤的關鍵特徵
- 突起呈無蒂(sessile)型態
- 骨幹/骨骺端有寬大表現(Erlenmeyer flask deformity,燒瓶狀變形),為 HME 的典型骨骼發育異常
- 無侵襲性骨質破壞、無骨膜反應、無軟組織腫塊
側位(Lateral view):
- 確認骨突突起的立體位置及範圍
- 骨突朝遠離關節方向生長(away from joint),此為骨軟骨瘤的特徵性生長方向
- 骨性突起邊界清楚,骨皮質連續
多發性、對稱性分佈、骨骺端發生、骨皮質連續延伸的骨性突起,高度
...(解析預覽)...
![醫師[2] - 骨骼腫瘤學 - AI 圖文解析預覽](/_next/image?url=https%3A%2F%2Fbgvxfcrmbdvefjhuvrmt.supabase.co%2Fstorage%2Fv1%2Fobject%2Fpublic%2Fvisual-explanations%2F1073%2F71537_t6611085z.webp&w=3840&q=75)
升級 VIP 解鎖圖文解析