105年:醫學三(1)
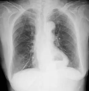
病人主訴胸骨後和上腹部疼痛且食慾不佳,胸部 X光檢查呈現如圖,下列那一項診斷最正確? 
Ahiatal hernia
Baortic dissection
Cmyocardial infarction
Dpneumomediastinum
詳細解析
本題觀念:
本題考察胸部 X 光的影像判讀,需根據病人症狀(胸骨後及上腹部疼痛、食慾不佳)以及胸部 X 光異常表現,推斷最可能的診斷。本題的核心概念是食道裂孔疝氣(hiatal hernia)的臨床表現與影像學特徵。
影像分析:
本張胸部 X 光(正面 PA view)可見以下重要發現:
心後區(Retrocardiac region)異常:在心臟影後方(左下縱膈),可見一明顯的圓形/橢圓形緻密影,合併有氣體陰影(air-fluid level)。此為典型的胃或腸段從腹腔疝入胸腔、經橫膈食道裂孔所形成的影像特徵。
縱膈(Mediastinum):縱膈寬度正常,無明顯增寬,不支持主動脈剝離(aortic dissection)的典型表現。
肺野(Lung fields):雙側肺野清晰,無明顯浸潤或氣胸表現,不支持氣縱膈(pneumomediastinum)的診斷。
橫膈上方氣泡影:在橫膈水平線上方可見含氣體結構,此影像強烈提示胃泡(gastric bubble)移位至胸腔。
整體影像與大型食道裂孔疝氣(sliding type 或 paraesophageal type)之典型胸部 X 光表現一致:心後區氣液面(retrocardiac air-fluid level)為最重要的診斷線索。
選項分析
**(A) h
...(解析預覽)...
![醫師[2] - 上消化道疾病 - AI 圖文解析預覽](/_next/image?url=https%3A%2F%2Fbgvxfcrmbdvefjhuvrmt.supabase.co%2Fstorage%2Fv1%2Fobject%2Fpublic%2Fvisual-explanations%2F1075%2F71696_t5y5p490a.webp&w=3840&q=75)
升級 VIP 解鎖圖文解析