105年:醫學四(1)
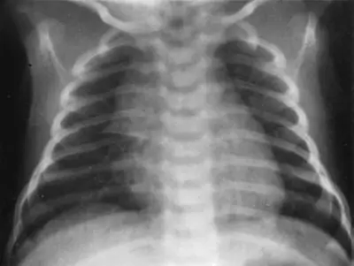
本題附圖之嬰兒胸部 X光可看到什麼? 
A胸腺(thymus )
B心臟擴大( cardiomegaly )
C肺炎(pneumonia )
D肺出血(pulmonary hemorrhage )
詳細解析
本題觀念:
嬰兒胸部 X 光的正常胸腺(thymus)影像特徵辨識。本題考查嬰兒期常見的胸腺顯影(thymic shadow)在胸部 X 光上的正確判讀,避免誤判為心臟擴大或肺部病變。
影像分析:
此嬰兒胸部 X 光可見:
- 上縱膈腔(superior mediastinum)增寬:整個上縱膈腔有明顯的軟組織密度陰影向兩側延伸
- 右側特徵性帆狀突出(sail sign):右上縱膈可見一個三角形、密度均勻的陰影,其外側緣凸出且下方邊緣筆直,如帆船的帆,此即為典型的「胸腺帆狀徵(thymic sail sign)」
- 胸腺波浪徵(thymic wave sign):胸腺外緣可見因肋骨壓迫而形成的波浪狀輪廓,這是正常柔軟胸腺組織的特徵,可與縱膈腫瘤鑑別
- 心臟輪廓:心臟本身大小尚屬正常範圍,心臟下緣清楚可辨
- 肺野:兩側肺野透明度正常,無明顯滲潤或浸潤影
- 肋骨、脊椎:結構對稱,無異常
結論:此影像為嬰兒期正常胸腺顯影,呈現典型的 sail sign,屬正常生理現象,非病理狀態。
選項分析
(A) 胸腺(thymus) ✅ 正確答案 嬰兒(尤其是 2 歲以下)的胸腺相對於身體比例較大,在胸部 X 光上可呈現:
- 帆狀徵(sail sign):右側胸腺呈三角形帆狀突出
...(解析預覽)...
![醫師[2] - 新生兒 - AI 圖文解析預覽](/_next/image?url=https%3A%2F%2Fbgvxfcrmbdvefjhuvrmt.supabase.co%2Fstorage%2Fv1%2Fobject%2Fpublic%2Fvisual-explanations%2F1076%2F71729_t5p0m012w.webp&w=3840&q=75)
升級 VIP 解鎖圖文解析