105年:醫學五(1)
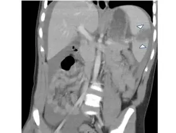
15 歲車禍傷患主訴左上腹部劇痛,而且逐漸呈現休克狀態。電腦斷層檢查如附圖。箭頭所指之異常最符合下列那一項診斷? 
Aspleen laceration
Bpancreas laceration
Ckidney laceration
Ddiaphragm laceration
詳細解析
本題觀念:
本題考查鈍性腹部外傷(blunt abdominal trauma)後的電腦斷層(CT)影像判讀。15 歲車禍傷患出現左上腹劇痛合併休克,為脾臟損傷(splenic injury)的典型臨床表現。CT 是鈍性腹部外傷的首選影像檢查,可精確評估脾臟撕裂傷(spleen laceration)的嚴重程度。
影像分析:
本題附圖為腹部冠狀切面(coronal view)的對比增強電腦斷層(contrast-enhanced CT)影像。
主要影像所見:
- 圖中白色箭頭(arrowheads)指向位於左上腹的**脾臟(spleen)**上極區域
- 脾臟上極可見低密度不規則區域(hypodense irregular area),代表脾臟實質受損、無正常對比增強,符合**撕裂傷(laceration)或血腫(hematoma)**的影像特徵
- 脾臟包膜下或脾周可見血液積聚,與臨床上左上腹疼痛及休克相符
- 肝臟及腸道等其他腹腔臟器無明顯異常,胰臟、腎臟、橫膈無特殊發現
影像定位: 箭頭所指結構位於左上腹腹腔內,位置對應脾臟(第 9-11 肋骨後方),而非胰臟(中線偏左偏後)、腎臟(腹膜後腔)或橫膈(更上方的穹窿狀結構)。
選項分析
**(A) spleen laceration(脾臟撕裂
...(解析預覽)...
![醫師[2] - 外科創傷學 - AI 圖文解析預覽](/_next/image?url=https%3A%2F%2Fbgvxfcrmbdvefjhuvrmt.supabase.co%2Fstorage%2Fv1%2Fobject%2Fpublic%2Fvisual-explanations%2F1077%2F71855_t5q3n3j70.webp&w=3840&q=75)
升級 VIP 解鎖圖文解析