105年:醫學六(1)
一位 65 歲女性病患,無症狀。腹部 X光片意外發現一個高度鈣化的陰影(如上圖)。 超音波檢查如下圖。其診斷為何:

A子宮肌瘤( uterine myoma )
B卵巢癌(ovarian cancer )
C子宮頸癌( cervical cancer )
D輸卵管卵巢膿瘍( tubo-ovarian abscess )
詳細解析
本題觀念:
本題考的是婦科骨盆影像判讀,結合腹部 X 光與超音波,從「65 歲無症狀女性、X 光意外發現高度鈣化陰影」來鑑別診斷骨盆腔腫塊。核心概念為子宮肌瘤(uterine leiomyoma/myoma)鈣化退化的影像特徵。
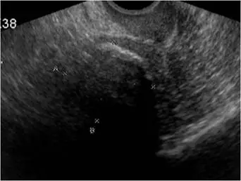
影像分析:
圖一(腹部 X 光): 骨盆腔中央可見一個邊界清楚的圓形高密度鈣化腫塊,呈現散在分布的「爆米花狀(popcorn-like)」緻密鈣化灶,整體鈣化程度相當高。腫塊位於骨盆正中央偏下,位置符合子宮。此影像特徵為典型退化性鈣化(dystrophic calcification)子宮肌瘤。
圖二(骨盆超音波): 超音波顯示一個高回聲(hyperechoic)腫塊伴有後方強烈聲影(posterior acoustic shadowing),影像因聲影而遮蔽深部構造,整體內部細節難以辨識。此超音波表現為嚴重鈣化肌瘤的典型圖像:鈣化的前緣高度反射音波,造成深部完全聲影,使超音波無法清楚評估內部結構。
選項分析
(A) 子宮肌瘤(uterine myoma) 子宮平滑肌瘤(uterine leiomyoma)是最常見的婦科良性腫瘤,鈣化發生率約 4%,好發於停經後女性。長期缺血後發生退化性鈣化(dystrophic calcification),X 光下呈現骨盆
...(解析預覽)...
![醫師[2] - 子宮良性疾病 - AI 圖文解析預覽](/_next/image?url=https%3A%2F%2Fbgvxfcrmbdvefjhuvrmt.supabase.co%2Fstorage%2Fv1%2Fobject%2Fpublic%2Fvisual-explanations%2F1078%2F71935_t4k3g1i1l.webp&w=3840&q=75)
升級 VIP 解鎖圖文解析