113年:內專

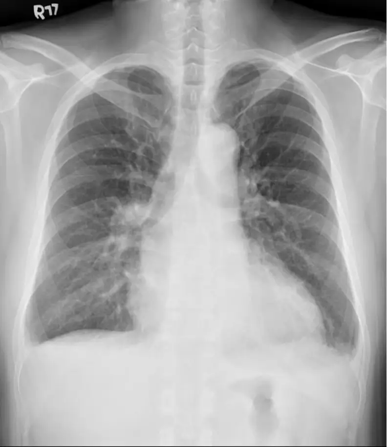
五十歲男性台商病人在2018年曾經感冒併有咳嗽及眩暈一週,隨後二週逐漸出現運動性呼吸困難及腳 腫,乃急回台灣求醫。住院診斷為擴大性心肌病治療。經治療穩定後出院,又返回中國經商。二年來病人 遵從性不足,服藥斷續,以致近二週來時有心悸及呼吸困難,再度回台急診。BP:154/83 mmHg; HR:114/min irregularly irregular ; RR:20/min; SpO₂:97%。理學檢查:無貧血或黃疸,頸部靜脈正常,胸 部呼吸聲正常,心臟擴大,S1輕柔,有S3及在心尖有Gr2/6 systolic murmur。肝脾正常,雙腳未有水 腫。經使用靜注利尿劑,也依病况急作心跳控制。其心電圖及胸部X光,如圖。 請問下列何種處置最符合病况的治療? 圖片描述 圖片描述

A採用Herbesser(Diltiazem) 25-50 mg在50-100 ml N/S 注射。
B採用 Amiodaron 250-300 mg/5%D/W200ml ,10-25分鐘注射。
C採用Digoxin 0.25 mg IV bolus followed by 0.5 mg over in divided dose。
D採用Magnesium sulfate 10-20 mmol in 50-100 ml N/S注射。
E採用Electric cardioversion 100-200 Joules。

詳細解析

本題觀念:

急性心房顫動伴快速心室反應(AF with RVR)在有左心室收縮功能不全或失代償性心衰的患者,選擇治療藥物時應考慮避免進一步降低心肌收縮力及血流動力的藥物;首選可用 IV amiodarone 作速控。

影像分析:

胸部 X 光可見心影顯著增大,心胸比明顯超過 0.5,顯示擴大性心肌病背景下的心臟擴大。肺野未見明顯肺水腫或肺泡浸潤,肺血管紋理不增粗,提示此刻並無急性肺水腫。
心電圖顯示心室率約 110–120/min,不規則不整,缺乏清楚的 P 波,基線呈細微纖維顫動波,可確診為心房顫動伴快速心室反應(AF with RVR)。QRS 波寬度正常(<120 ms),無預激徵或室性起源波形。全片未見電擊干擾或特別電躁紋。影像與電圖合併顯示 AF 併快速心室率,在擴張型心肌病患者中需即刻速控以改善心輸出。

選項分析

  • 選項A 採用 Herbesser (Diltiazem) IV:Diltiazem 屬非二氫吡啶類 calcium channel blocker,會降低心肌收縮力,又易造成血壓下降,於失代償性心衰時禁用,屬 III 類(不應用)(ahajournals.org)。
  • 選項B 採用 Amiodaron 250–300 mg/5%D/W 200 ml,10–25 分鐘注射:IV amiodarone 對於急性 AF 速控心室率有效且對血壓影響較小,在 HF 病人中可做為第二線或當其他藥物禁忌時使用,亦可兼具緩轉節律作用,為此情境下最適合選擇(ahajournals.org, ahajournals.org)。
  • 選項C 採用 Digoxin 0.25 mg IV bolus:Digoxin 遲緩起效,需數小時以上才能達到穩定血藥濃度,不足以處理急性快速性心室反應;且單用對運動或應激時的心室率控制效果差(ahajournals.org)。
  • 選項D 採用 Magnesium sulfate:Magnesium sulfate 主要用於多形性室性心動過速(Torsades de Pointes)或低鎂所致心律不整,對 AF with RVR 無療效,且不適用於此病人。
  • 選項E 採用 Electrical cardioversion 100–200 J:電擊轉律屬於不穩定患者(低血壓、急性缺血、嚴重心衰惡化)才優先考量;本例血壓正常且無急性心肌缺血症狀,患者屬血流動力穩定,先以藥物速控為原則。

答案解析

患者為擴張型心肌病合併失代償性心衰,右上腔靜脈無明顯怒張,無肺水腫體徵,惟已出現 AF with RVR,須即刻降低心室率。因擴張型心肌病患者心肌收縮力低下,禁用負性肌力藥物如 non-DHP CCB(Diltiazem、Verapamil)與 esmolol 等;Digoxin 起效緩慢不適合急性;電擊轉律適應於血流動力不穩者;Magnesium 無效。IV amiodarone 能快速降低心室率且血流動力衝擊小,可兼顧率控與節律轉換潛力,為最適當選擇。

臨床重要性

急性 AF with RVR 若合併心衰或心肌功能不全,務必謹慎選擇速控藥物,避免因治療導致血流動力進一步惡化。IV amiodarone 在此類患者中為重要的藥物速控選項,臨床上常用於 β-blocker 與 CCB 禁忌或無效時。