112年:內專
病人是位29歲男性電子工程師派駐中國深圳,三個星期來,時有間歇性發燒及逐漸性呼吸困難,先在深圳 門診求醫,初以為一般感冒治療,後以支氣管炎診斷治療罔效,乃急回台灣求醫。經檢查,意識: E4M6V5; BP: 122/75 mmHg; PR: 116/min; RR: 21/min; Temperature: 37.6℃; SpO₂: 94%(room air) 頸靜脈不怒張,未有貧血,胸部呈現瀰漫性濁音,心臟擴大,有Grade III/VI Diastolic murmurs at left upper sternal border,無肝脾腫大,無腹水。皮膚未有紅腫或出血斑點。2016/12/23心電圖及胸部X光如 圖。其血液、尿液及生化如次:Hemograms: WBC, 13.54(k/uL); RBC, 4.74(M/uL); Hb, 13.0 (gm%); HCT, 40.2(%); MCV, 84.8 (fL); MCH,27.4(pg); Platelet,329 (k/uL); Seg, 81.5(%); Eos, 0.2(%)。尿檢: 正常。請 問這位年青病人的最可能診斷是:
AAcute heart failure with lungs infection。
BAcute pericarditis。
CAcute viral myocarditis。
DAcute infective endocarditis。
EAcute pulmonary thromboembolism。
詳細解析
本題觀念:
急性感染性心內膜炎(IE)導致心臟瓣膜(尤其是主動脈瓣)破壞,產生急性重度逆流(acute severe regurgitation),繼而引發左心腔容積負荷急遽上升,造成肺水腫與心衰。
影像分析:
-
心電圖:
• 心率約116 bpm,節律為竇性;
• 無擴散性ST段抬升或PR段下移,未見心包炎特徵性PR depression或ST elevation (healio.com);
• QRS無低電壓,亦無電切換(electrical alternans),排除大量心包積液/心包炎。
結論:缺乏心包炎或明顯心肌炎的電圖表現,主見為竇性心動過速。 -
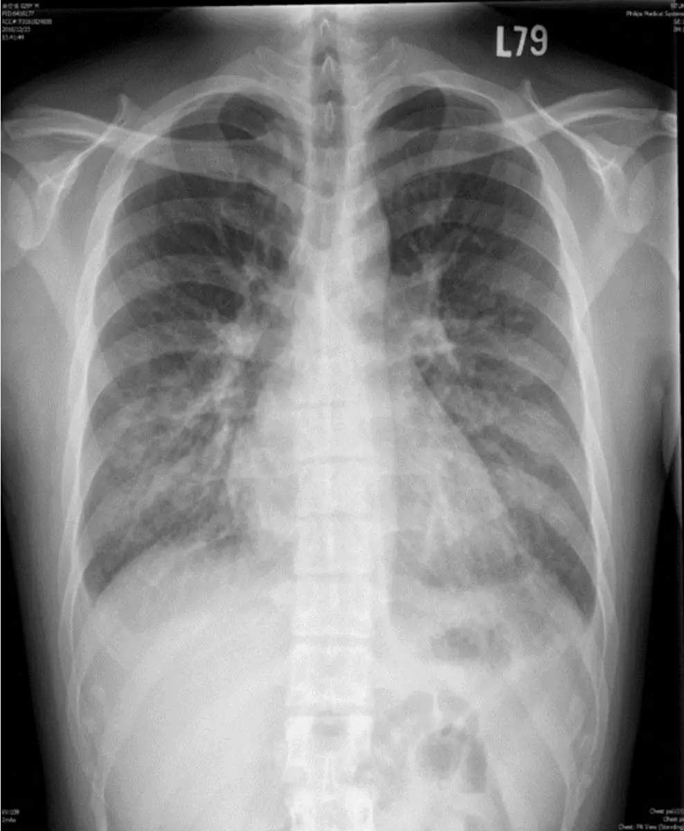
胸部X光:
• 心臟影明顯增大,心胸比>0.5;
• 肺門區血管影增粗,上肺野可見血管走勢增多(cephalization),提示肺靜脈壓升高;
• 周邊散在細碎浸潤影,伴有間質性改變(Kerley B lines、peribronchial cuffing)
...(解析預覽)...

升級 VIP 解鎖圖文解析