106年:內專
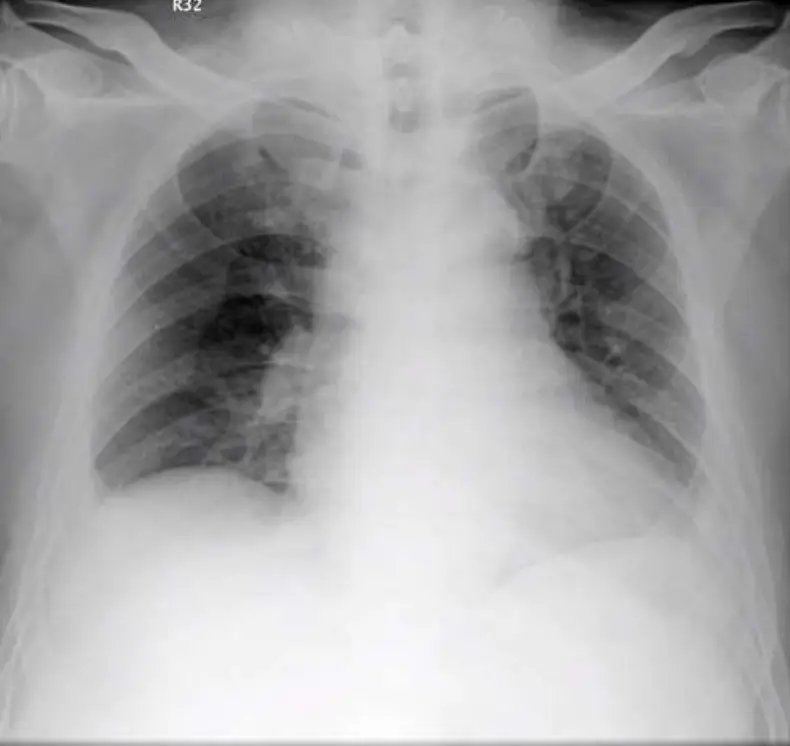
病人,64歲傅先生在下午3:00 PM 突然氣促(dyspnea),到急診求醫。病人有高血壓、慢性B型肝炎及痛風病史。到院時血壓102/73mm Hg; ventricular rate 100/min;在10 L/min O₂ mask 使用下SpO₂ 100%。在急診之身體檢查末見重大異常。其心電圖及CxR如圖。靜脈血氧氣及生化檢查如表,超音波心圖顯示右心擴大及中重度三尖瓣閉鎖不全。本病人之診斷及治療之緊急處置,以何方案最適當?
A敗血性休克,啟用升壓劑維持血壓,血液細菌培養至少三套後,使用Empirical antibiotics。
B右心衰竭,採用容積量補充法,必要配用Dopamine infusion at the rate of 2.5-5.0 microgram/Kg/min。
C肺栓塞,測定D-dimer及胸部CT,依結果使用血栓溶解療法及肝素注射。
D急性下壁心肌梗塞,系列心電圖及心肌酵素檢查,按結果會診心臟科逕行percutaneous coronary intervention。
E繼續觀察,維持生命症狀穩定。
詳細解析
本題觀念:
急性高危肺栓塞(massive pulmonary embolism)造成右心急性負荷,臨床表現為突發呼吸困難、相對低血壓、右心擴大及中重度 tricuspid regurgitation,須迅速做出診斷並進行再灌注治療(thrombolysis)與抗凝。
影像分析:
- 心電圖:可見竇性心搏率約100/min,I 导聯深S波、III 导聯Q波及T波倒置(S1Q3T3),並有右軸偏移及V1–V4導聯輕微T波倒置,提示急性右心壓力過載(right ventricular strain)常見於肺栓塞。
- 胸部X光:右肺野顯示血管紋理減少(oligemia,Westermark sign)及右下肺靠近胸膜處見弧形楔狀透明度減少區(Hampton’s hump),同時主肺動脈影像稍增寬(Fleischner sign),高度支持肺栓塞診斷。
- 超音波心臟:右心系(right ventricle)明顯擴大,中重度 tricuspid regurgitation,反映右室急性壓力與容積負荷。
選項分析
-
選項A:敗血性休克
無發熱、感染源跡象,血液培養及經驗性抗生素不符合臨床情境,排除。 -
選項B:右心衰竭(急性)
雖有右心負荷,但急性肺栓塞非以容積補充為主,反而會因增加 preload 助長右室壓負荷;低劑量多巴
...(解析預覽)...

升級 VIP 解鎖圖文解析