106年:內專
一位60歲女性有肺癌病史,來到急診時,吸氣時收縮壓比呼氣時收縮壓下降超過10mmHg以上,心電圖如附圖,請問何者描述為誤?
A此病人臨床上應有低血壓,心音微弱,與頸靜脈怒張 (Beck's triad )
B頸靜脈波形會有明顯的 y descent
C身體檢查時,該病患無Kussmaul's sign
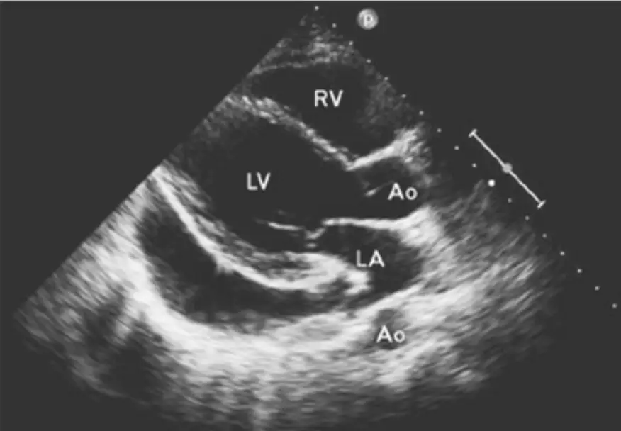
D心臟超音波檢查如圖
E心臟超音波檢查時會出現舒張末期右心室塌陷徵象 (right ventricular collapse sign)
詳細解析
本題觀念
60 歲女性、肺癌病史、急診就醫,表現奇脈(pulsus paradoxus)——吸氣時收縮壓下降 > 10 mmHg。搭配 ECG 與心臟超音波影像,詢問何者描述為誤(反向題)。核心病理:心包填塞(cardiac tamponade),最可能由惡性心包積液(肺癌轉移)引發。
病理生理:心包腔壓力(intrapericardial pressure, IPP)升高 → 最先壓迫右心房(RA)→ 繼而壓迫右心室(RV)舒張期充填 → 心輸出量驟降。
影像分析
ECG 特徵
- 低電壓(low voltage QRS):肢體導程 < 5 mm、胸前導程 < 10 mm;心包積液如「絕緣體」衰減電氣訊號
- 電氣交替(electrical alternans):QRS 形態/振幅逐跳交替;心臟在大量積液中「鐘擺」擺動,電氣軸每跳不同。電氣交替合併心搏過速是高度懷疑心包填塞的 ECG 組合
心臟超音波(Echo)特徵
- 心包積液:心臟被無回音液體環繞,惡性積液可見纖維素沉積
- RA 收縮期塌陷(RA collapse):最敏感徵象(~80–100%),RA 壁薄壓力最低,最早塌陷
- RV 舒張期塌陷(RV diastolic collapse):高特異
...(解析預覽)...

升級 VIP 解鎖圖文解析