112年:專師內科
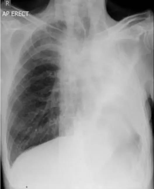
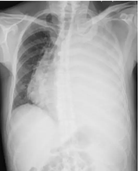
甲病人與乙病人均罹患肺癌,且因呼吸喘促而入院,依據兩位病人的胸部X光檢查:圖(五)為甲病人的影像、圖(六)為乙病人的影像。關於是否適合插上胸管引流做為緩解病人呼吸喘促的處置決策,下列何者正確?
A甲、乙皆可插胸管
B甲、乙皆不宜插胸管
C甲可插胸管,乙不宜插胸管
D甲不宜插胸管,乙可插胸管
詳細解析
本題觀念:
如何根據胸部X光片所見判別大範圍肺部病灶是屬於「胸腔積液」(massive pleural effusion)抑或「肺不張/萎陷」(atelectasis),並進而決定是否適合透過胸管(或小導管)引流以緩解呼吸喘促。
影像分析:
圖(五)(甲病人)
• 左側全葉均呈均質放射不透光(opaque),左橫膈輪廓被完全遮蔽,左側肋膈角消失。
• 明顯可見縱隔結構(心影、氣管)向右側推擠移位。
– 右移代表左側胸腔內正壓增加,典型為大量液體積聚於胸膜腔中,形成 massive pleural effusion,並壓迫肺組織。(pmc.ncbi.nlm.nih.gov)
圖(六)(乙病人)
• 同樣左側近全葉不透光,但與圖(五)不同的是氣管及心影輕度向左側(病變同側)移位。
– 向病灶同側移位代表整體胸腔內腔體積減少(negative pressure pull-in),符合大範圍肺組織因中央支氣管阻塞或腫瘤壓迫造成的整葉肺不張(lobar collapse/atelectasis)([pmc.ncbi.nlm.nih.gov](https://pmc.ncbi.nlm.nih.gov/art
...(解析預覽)...

升級 VIP 解鎖圖文解析