114年:醫學五(2)

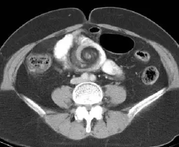
病人主訴腹脹、反胃及腹部悶痛;腹部電腦斷層檢查呈現如附圖。下列何項初診斷最恰當? 圖片描述

Avolvulus
Bintussusception
Cparasite infection
Dacute appendicitis

詳細解析

本題觀念

腸扭轉(volvulus)是指腸管沿其系膜軸旋轉,造成閉迴路阻塞與缺血風險。CT 上特有的「whirl sign」(漩渦徵象)即表示腸袢及系膜血管呈螺旋狀扭轉,是診斷腸扭轉的關鍵影像所見。

影像分析

從提供的橫斷面CT可以觀察到:

  1. 中央可見系膜血管與腸袢呈明顯螺旋狀聚集、交錯,就像天氣預報地圖上的颱風漩渦,代表腸管與系膜扭轉(whirl sign)。
  2. 扭轉點近側的小腸袢明顯擴張,遠側則可見腸腔收縮,符合閉迴路小腸阻塞。
  3. 無明顯典型「洋蔥圈(target)徵象」或線狀異物,亦未見闌尾肥大或周圍脂肪渲染。

上述影像特徵高度符合腸扭轉所致的旋渦徵象與閉迴路阻塞表現。

選項分析

  • 選項A volvulus
    CT 的 whirl sign 為腸扭轉經典所見,扭轉點可見系膜血管與腸袢螺旋交纏,吻合小腸閉迴路阻塞與扭轉病理機轉。早期文獻指出 whirl sign 在 mesenteric volvulus 偵測上敏感且提示需儘速手術介入(pubmed.ncbi.nlm.nih.gov)。

  • 選項B intussusception
    成人或兒童腸套疊於CT上呈現「target sign」或「doughnut sign」,即同心圓狀交替高低密度影像,並可能伴隨環狀脂肪與血管圖像。此題影像並未見典型同心圈狀構造,且主訴較偏閉迴路阻塞而非間歇性絞痛,故不符(pubmed.ncbi.nlm.nih.gov)。

  • 選項C parasite infection
    成人腸道線蟲(如 Ascaris lumbricoides)CT 可能顯現管狀或線狀充填缺損、spaghetti 狀或雙平行線徵象,多數為彎弧形或線狀結構,並不會出現系膜血管與腸袢整體旋渦狀扭轉(insightsimaging.springeropen.com)。

  • 選項D acute appendicitis
    急性闌尾炎CT表現為闌尾直徑>6 mm、壁增厚、周圍脂肪渲染、水腫或局部滲液;本例影像中央並無可疑闌尾結構,也未見明顯脂肪模糊或增強壁增厚,故排除(pubmed.ncbi.nlm.nih.gov)。

答案解析

影像中最具代表性的 whirl sign 與閉迴路阻塞特徵,明指小腸沿系膜軸扭轉,符合 mesenteric volvulus,需緊急手術減旋並評估腸管存活度。其餘選項無法解釋螺旋狀血管與腸袢扭轉的整體結構變化。正確初診斷為 volvulus。

臨床重要性

腸扭轉若未即時處置,可迅速發展為腸缺血、壞死與腹膜炎。CT whirl sign 有助於早期診斷並指導外科緊急減旋手術,降低病死率、保留腸管功能。