114年:醫學六(2)

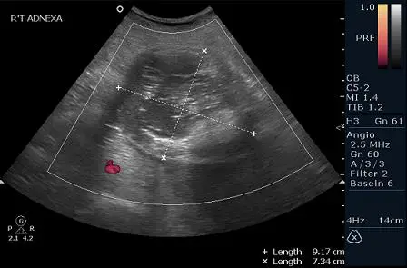
30歲女性,在健康檢查時,意外在骨盆超音波下,發現如圖所示之腫塊,最有可能的診斷為何? 圖片描述

A出血性黃體囊腫( hemorrhagic corpus luteum )
B子宮內膜異位瘤( endometrioma )
C畸胎瘤( teratoma )
D功能性囊腫( functional cyst )

詳細解析

本題觀念:

這題聚焦於超音波影像下卵巢腫塊的性質區分,須依據回聲特徵來鑑別 mature cystic teratoma (dermoid cyst)、endometrioma、hemorrhagic corpus luteum cyst 及 functional cyst。

影像分析:

該張經腹部超音波圖顯示右側附件區約 9.2×7.3 cm 的複雜性囊性和實質混合腫塊。可見大量高迴聲區,伴有強烈後方聲波衰減,後方腫塊邊界無法辨識,呈現典型的 “tip‐of‐iceberg” 現象;腫塊內亦見不規則高迴聲結節,暗示含有脂肪、毛髮或鈣化等成分。缺乏單純的低回聲“ground‐glass”表現,也未見細密的“lace‐like”纖維網狀迴聲。

選項分析

  • 選項A 出血性黃體囊腫:超音波典型為厚壁囊腫,內可見低回聲血腫或細絲狀回聲,形成 cobweb/reticular “lace‐like” 模式,偶見 ring‐of‐fire 週邊血流,但缺乏實質性高迴聲結節與顯著後方聲衰減;此圖未見細絲狀黏稠網狀結構而是大片強回聲,故排除 (pmc.ncbi.nlm.nih.gov)。

  • 選項B 子宮內膜異位瘤:囊內液體呈均質性低階迴聲(ground glass),透聲增強;典型無實質性結節,也不會出現強烈聲影。此圖高迴聲結節與影像混雜性遠超“ground glass”表現,故不符 (pubmed.ncbi.nlm.nih.gov)。

  • 選項C 畸胎瘤:成熟囊性畸胎瘤常見複雜性迴聲,包含高度反射的脂肪、毛髮及鈣化物;Rokitansky 嵌節(echogenic mural nodule)及 tip‐of‐iceberg 簇狀聲影為關鍵徵象,亦可能見 dot‐dash pattern。上述超音波圖正顯示高迴聲結節與明顯後方聲衰減,吻合 dermoid 特徵 (radiologykey.com, ncbi.nlm.nih.gov)。

  • 選項D 功能性囊腫:包括濾泡囊腫或黃體囊腫早期,多為單純無回聲囊腫,壁薄;此影像顯著複雜性與高迴聲結節,非簡單囊腫所致。

答案解析

超音波中若看到卵巢腫塊內部分明高迴聲結節並伴隨後方聲波強烈衰減(tip‐of‐iceberg)、echogenic mural nodule,最符合成熟囊性畸胎瘤(dermoid cyst)的影像特徵,其內容含脂肪、毛髮與鈣化成分,易產生此類混合迴聲與聲影。其他選項在回聲型態上與此大相逕庭,故正確答案為 C。

臨床重要性

成熟囊性畸胎瘤為生育年齡女性最常見的良性卵巢腫瘤,約佔卵巢腫瘤的 20–25%。鑑別診斷正確可避免不必要的隨訪或誤診為惡性,手術時可採微創摘除以保留生育功能。此外需警惕併發扭轉或破裂之急症。