112年:醫學五(2)
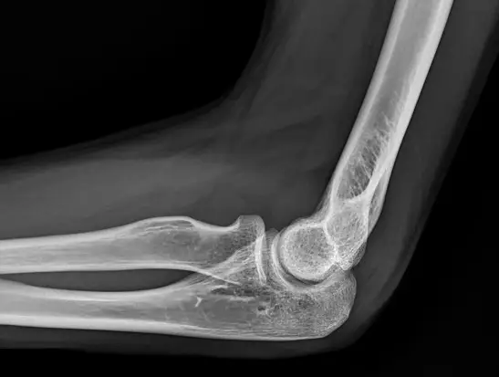
病人跌倒後被送到急診室,左手肘劇烈疼痛且無法活動。他的左手肘 X 光片側面照的影像如圖所示,下列敘述何者最恰當?
A可明顯發現肱骨( humerus )骨折
B可明顯發現橈骨( radius )骨折
C生長板( growth plate )尚未癒合
D可明顯發現關節積液( joint effusion )
詳細解析
本題觀念:
側位肘關節X光上「fat pad sign」(脂肪墊徵象)代表關節腔內積液,常見於急性創傷後的肘關節積血或積液,可間接提示隱藏性(occult)骨折。
影像分析:
從側面照可見遠端 humerus 與 proximal radius、ulna 關節面無明顯骨折裂隙。正常時, anterior fat pad(前脂肪墊)雖可見但緊貼骨面、不呈抬升; posterior fat pad(後脂肪墊)則隱藏於 olecranon fossa,通常不見。本案例 anterior fat pad 有明顯「船帆狀」抬升(sail sign),且可見 posterior fat pad,代表肘關節內有液體(血或其他液體)使脂肪墊被推開,形成 joint effusion 的典型表現。
選項分析
-
選項A “可明顯發現肱骨(humerus)骨折”
X光未見 humerus 遠端(髁部)或骨幹的皮質中斷、移位或碎骨,排除明顯骨折。 -
選項B “可明顯發現橈骨(radius)骨折”
radius 頭及頸部骨皮質完整,無裂隙或錯位,不符合橈骨骨折特徵。 -
選項C “生長板(growth plate)尚未癒合”
此患者X光骨化中心已融合,未見未癒合之生長板線。且題目並未交代未成年身分,影像亦符合成年骨骼特徵。 -
選項D “可明顯發
...(解析預覽)...
![醫師[2] - 上肢骨折與損傷 - AI 圖文解析預覽](/_next/image?url=https%3A%2F%2Fbgvxfcrmbdvefjhuvrmt.supabase.co%2Fstorage%2Fv1%2Fobject%2Fpublic%2Fvisual-explanations%2F196%2F7349_t8b2d85ec.webp&w=3840&q=75)
升級 VIP 解鎖圖文解析