111年:醫學五(1)
一位 53歲女性駕駛小轎車與對側高速來車相撞,立刻被緊急送至第一級( Level I )創傷中心急救。到院時意識狀態清楚,主訴兩側胸部及腹部疼痛、兩側手腕及左下肢劇痛。理學檢查發現血壓 80/50 mmHg 、心跳 115 次 /分、呼吸 20次 /分,給與氧氣 5 公升 / 分鐘使用後,動脈血氧飽和度可達 98% ;另左胸呼吸音減低,腹部微脹有明顯瀰漫性壓痛,雙側手腕變形及左股骨開放性骨折。經快速大量輸液治療後血壓上升至 100/55 mmHg ,故安排緊急全身顯影電腦斷層,結果如附圖。病人送回急救區後發現意識模糊,但對深痛刺激有反應,生命徵象為血壓60/40 mmHg、心跳 125 次 / 分、呼吸 20 次 / 分,動脈血氧飽和度無法偵測。下列何種醫療處置較為適當?
A再次給予快速大量輸液後立即再安排一次腦部電腦斷層
B立即雙側肋膜胸管置入並密切觀察
C立即送病人至手術室接受緊急開胸及主動脈修補術
D立即送病人至手術室接受緊急剖腹探查
詳細解析
本題觀念:
多重創傷病患在接受全身電腦斷層(pan-scan)後若再度出現顯著低血壓與意識惡化,需立即判斷失血來源並採取 Damage-control 手術。任何具瀰漫腹膜炎或活動性腹內出血且呈 hemodynamic instability 者,ATLS 建議首選緊急剖腹探查 (exploratory laparotomy)。(ncbi.nlm.nih.gov)
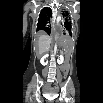
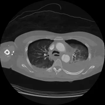
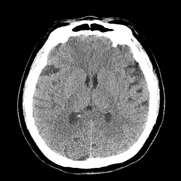
影像分析:
- 腦部 axial CT:可見散在小範圍腦挫傷與出血點,無明顯顱內大量出血或中線偏移,顯示頭部傷勢非立即致命。
- 胸部 axial CT:雙肺多處挫傷、肋骨骨折;縱膈大動脈邊緣平滑,未見假性囊或媒介層剝離,亦無大量血氣胸,說明主動脈完整且胸腔失血量有限。
- 腹部 axial CT:大量高密度腹腔游離液(血液);右上腹肝實質裂傷伴 contrast extravasation,周圍血塊形成,為持續性主動出血影像。
- 腹胸冠狀面重組:更清楚顯示肝右葉深度裂傷及主動對比劑外滲,血腔沿腹腔、盆腔擴散;橫隔以下血量明顯多於胸腔,支持腹內出血為主要休克來源。
選項分析
- 選項A 再次大量輸液+重做腦部 CT
持續休克最可能因腹內活動性出
...(解析預覽)...
![醫師[2] - 創傷管理與急救 - AI 圖文解析預覽](/_next/image?url=https%3A%2F%2Fbgvxfcrmbdvefjhuvrmt.supabase.co%2Fstorage%2Fv1%2Fobject%2Fpublic%2Fvisual-explanations%2F200%2F8063_ta2f072d5.webp&w=3840&q=75)
升級 VIP 解鎖圖文解析