111年:醫學五(1)
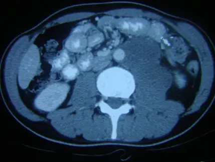
下圖為中年男性所呈現的後腹膜腔腫瘤,最不可能的診斷為:
A淋巴瘤
B源自多形惡性神經膠質瘤( glioblastoma )之轉移腫瘤
C未分化多形性肉瘤( undifferentiated pleomorphic sarcoma )
D精細胞瘤( seminoma )
詳細解析
本題觀念:
後腹膜腫瘤的鑑別診斷主要包括淋巴瘤、胚胎性細胞腫瘤(如seminoma)、原發性軟組織肉瘤(如undifferentiated pleomorphic sarcoma)等;而中樞神經系統腫瘤如glioblastoma multiforme極罕見腦外轉移,尤其少見於後腹膜。
影像分析:
橫斷面增強CT顯示右側後腹膜大範圍均質軟組織密度團塊,邊界稍清楚,與腰大肌緊鄰,但無明顯大範圍壞死或囊化。腫瘤增強後呈輕度至中度均質增強,並包裹主動脈與下腔靜脈,表現如「漂浮主動脈」現象,典型於淋巴瘤病灶;未見脂肪成分或鈣化,也無顯著侵蝕性骨改變。
選項分析
-
選項A 淋巴瘤
後腹膜淋巴瘤常見,以均質性軟組織密度為主,沿血管走行而少壓迫,可能包裹腎臟並浸潤腎周,腫瘤增強後多為均質輕度增強,符合本例影像特徵 (epos.myesr.org)。 -
選項B 源自多形惡性神經膠質瘤(glioblastoma)之轉移腫瘤
Glioblastoma極少出現腦外轉移,文獻報告率0.4–0.5%,多見於肺、骨、區域淋巴,且常伴中心壞死與不均質增強
...(解析預覽)...
![醫師[2] - 術前術後管理與代謝外科 - AI 圖文解析預覽](/_next/image?url=https%3A%2F%2Fbgvxfcrmbdvefjhuvrmt.supabase.co%2Fstorage%2Fv1%2Fobject%2Fpublic%2Fvisual-explanations%2F200%2F8327_t5ff40dfc.webp&w=3840&q=75)
升級 VIP 解鎖圖文解析