110年:醫學五(2)
64歲女性,因急性右上腹部劇痛,掛急診求醫,腹部 CT 和血管攝影影像如附圖,則最可能的診斷為下列何者?
A肝膿瘍
B分布不均脂肪肝
C肝細胞癌破裂
D肝血管瘤破裂
詳細解析
本題觀念:
自發性肝腫瘤破裂導致急性腹痛與血性腹水的影像診斷
以動態對比增強CT與血管攝影判讀肝內高血管性病灶的特徵,區分肝細胞癌、肝內血管瘤、肝膿瘍或脂肪分布異常。
影像分析:
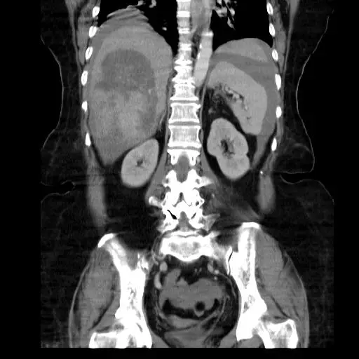
- 腹部CT(冠狀面):右肝葉可見一巨大、不規則邊緣的腫塊,內部呈現異質性密度。腫塊周邊可見高密度液體聚積,符合血性積液(血性腹水或皮下血腫);腫塊貼近肝包膜,疑似包膜缺損或破裂(“enucleation sign”)(ajronline.org)。
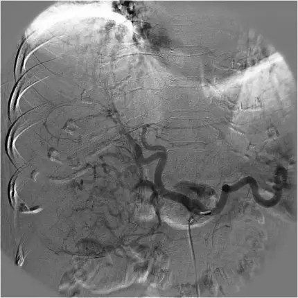
- 肝動脈攝影:右肝動脈分支顯示明顯腫瘤染色(tumor blush)以及不規則新生血管叢,伴隨可疑的對比劑外滲,提示活動性出血來源於高血管性病灶(ajronline.org)。
選項分析
-
選項A 肝膿瘍:典型CT呈液化低密度,周邊有厚實不均勻的環狀增強;血管攝影並不會出現腫瘤染色或新生動脈叢。此情境內病灶為高血管性、非純液化,且有大量血性積液,不支持肝膿瘍。
-
選項B 分布不均脂肪肝:在弥漫性脂肪肝背景下可見局部相對高密度區,但
...(解析預覽)...
![醫師[2] - 外科創傷學 - AI 圖文解析預覽](/_next/image?url=https%3A%2F%2Fbgvxfcrmbdvefjhuvrmt.supabase.co%2Fstorage%2Fv1%2Fobject%2Fpublic%2Fvisual-explanations%2F213%2F8816_t2454c3c3.webp&w=3840&q=75)
升級 VIP 解鎖圖文解析