111年:醫學三(1)
45歲的林女士到醫院做健康檢查,超音波掃描時意外發現肝臟右葉有一個約 4 cm 之腫瘤。 Dynamic CT 影像如圖。林女士最可能的診斷為何?
A肝細胞癌( hepatocellular carcinoma )
B海綿狀血管瘤( cavernous hemangioma )
C多房性包蟲囊腫( multilocular hydatid cyst )
D膽管癌( cholangiocarcinoma )
詳細解析
本題觀念:
肝臟局灶性病變的 Dynamic CT 影像診斷,特別是海綿狀血管瘤(cavernous hemangioma)的特徵性強化模式,以及與其他常見肝臟腫瘤(肝細胞癌、膽管癌、棘球囊腫)的鑑別診斷。
影像分析:
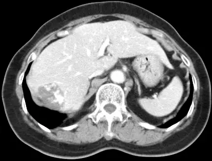
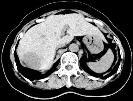
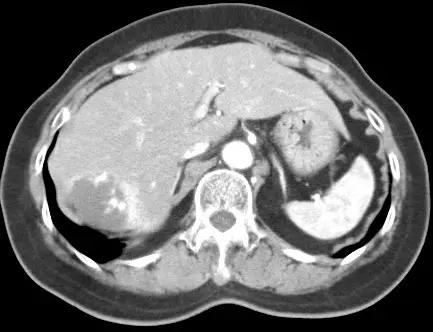
本題提供三張 Dynamic CT 影像,為肝臟右葉 4 cm 腫瘤的三期掃描:
圖一(動脈期 Arterial phase):肝臟右葉可見一低密度腫塊,邊緣出現不連續的結節狀強化(peripheral discontinuous nodular enhancement),強化密度接近血管(aorta/IVC),腫塊中心仍為低密度。
圖二(門靜脈期 Portal venous phase):強化範圍由外往內逐漸填充(centripetal fill-in),周邊強化區域擴大,中央低密度區縮小,整體密度漸升高。
圖三(延遲期 Delayed phase):病灶呈現幾乎完全等密度或高密度填充,與正常肝臟實質密度相近或更高,強化持續存在(persistent enhancement),無 washout 現象。
此三期「周邊結節強化 → 向心性填充 → 延遲完全填充」的模式,是海綿狀血管瘤的病理特徵性表現(pathognomonic pattern)。
選項分析
**(A) 肝細胞
...(解析預覽)...
![醫師[2] - 肝硬化、肝癌及其他肝疾病 - AI 圖文解析預覽](/_next/image?url=https%3A%2F%2Fbgvxfcrmbdvefjhuvrmt.supabase.co%2Fstorage%2Fv1%2Fobject%2Fpublic%2Fvisual-explanations%2F202%2F8273_tc5f625fd.webp&w=3840&q=75)
升級 VIP 解鎖圖文解析