112年:(醫檢)血液(1)
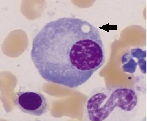
如圖箭號所示的白血球是下列何種血球
AReactive T lymphocyte
BSmall lymphocyte
CPlasma cell
DNatural killer cell
詳細解析
本題觀念:
辨識外周血塗片中各類淋巴樣與漿細胞的形態學特徵,以鑑別反應性與病理性細胞。
影像分析:
從圖中可見該細胞直徑約15–20 µm,明顯大於背景之小淋巴球。細胞核呈圓形並偏心分佈,染色深紫,核染質呈粗顆粒狀聚集,並模糊見有「時鐘式(cartwheel)」排列(UpToDate 說明)(medilib.ir)。胞質豐富、深藍(basophilic),且緊鄰細胞核側有一區淺染的透明區(perinuclear hof),對應高基氏體(Golgi apparatus)位置(HemoSurf 圖像與說明)(hemosurf.elearning.aum.iml.unibe.ch)。胞質內無可見顆粒或細胞膜突出,細胞邊緣呈圓滑狀,因此不似大型顆粒淋巴球。
選項分析
- 選項A Reactive T lymphocyte
反應性淋巴球常見於病毒或其他抗原刺激後,細胞大小異質、胞質深藍且可有周邊透明區(perinucl
...(解析預覽)...

升級 VIP 解鎖圖文解析