111年:(醫檢)血液(2)
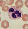
周邊血液抹片中觀察到如圖所示的白血球,是下列何種細胞?
A嗜中性球
B嗜酸性球
C嗜鹼性球
D淋巴球
詳細解析
本題觀念
血液塗片中白血球的形態學辨別:不同粒細胞(嗜中性球、嗜酸性球、嗜鹼性球)及淋巴球在核型、顆粒及胞質染色特性上的差異。
影像分析
從圖中可見一顆白血球,特徵包括:
- 核呈多葉(約三至四葉)形態,各葉之間以細絲狀染色質相連;
- 胞質呈淡粉紅色,散佈非常細小且數量多的中性顆粒;
- 未見大型橘紅色顆粒(嗜酸性球特徵)、也未見大片深紫黑色顆粒(嗜鹼性球特徵);
- 整體形態與周遭紅血球直徑相當,為典型成熟白三性球(neutrophil)的外觀 (meddean.luc.edu)。
選項分析
-
選項A 嗜中性球(Neutrophil)
成熟嗜中性球核多呈三至五葉,多葉之間由細絲狀染色質相連,胞質含細小中性(neither acid nor base)顆粒,顆粒呈淡粉紅至淡紫色 (meddean.luc.edu)。與題中所見吻合,為正確答案。 -
選項B 嗜酸
...(解析預覽)...

升級 VIP 解鎖圖文解析