115年:醫學三(1)
40歲男性有 10年心悸病史未妥善就醫,近一星期症狀加重,呼吸困難。到院時,BMI=41 kg/m², BP 126/72mmHg,HR 141/min ,RR 28/min ,Temp 36.90 ℃,SpO₂ 97%,無貧血,甲狀腺觸診未有異常,未有第三心音及心雜音,肝脾不大,無腹水,雙下肢微腫。相關檢查如附圖。抽血報告如下:NT Pro-BNP 2470 pg/mL ,Troponin T 0.019 ng/mL ,D-dimer 20 mg/L FEU ,ALT 196 U/L 。下列何項診斷最符合目前狀況?

A急性心肌炎
B高血壓心臟病
C肥厚性心肌病
D肺動脈栓塞症
詳細解析
本題觀念:
急性肺栓塞 (Acute Pulmonary Embolism, PE) 與 右心室過度負荷 (Right Ventricular Strain)
本題為經典的急性肺栓塞案例,測驗考生整合臨床症狀(呼吸困難、心悸、肥胖風險因子)、生化數據(D-dimer, BNP, Troponin)以及關鍵影像學表現(ECG 的 S1Q3T3 pattern、CT 的血管充盈缺損)的能力。
影像分析:
-
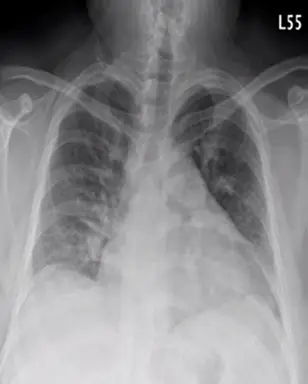
胸部 X 光 (Image 1 - CXR):
- 表現:雙側肺野透亮度尚可,但右下肺野似乎有模糊的斑塊狀陰影 (可能代表肺栓塞引起的肺梗塞或浸潤,即 Hampton's hump,但 X 光對 PE 診斷通常較不特異)。心臟輪廓可能有輕度擴大,這可能與肥胖或右心擴大有關。
- 意義:X 光在 PE 中常為正常或僅見非特異性變化,其主要價值在於排除氣胸或嚴重肺炎等其他鑑別診斷。
-
心電圖 (Image 2 - ECG):
- 表現:
- 竇性心搏過速 (Sinus Tachycardia):心率約 141 bpm (PE 最常見的心電圖表現)。
- S1Q3T3 Pattern:Lead I 出現深 S 波 (S wave > 1.5mm),Lead III 出現 Q 波與 T 波倒置 (Inverted T wave)。這是急性右心負荷 (Acute Cor Pulmonale) 的經典徵象。
- 右束支傳導阻滯 (RBBB):V1-V3 可見 RSR' 型態或類似變化,且伴隨前胸導程 (V1-V4) 的 ST-T 變化 (T wave inversion),顯示右心室壓力過大 (RV Strain)。
- 意義:強烈提示急性肺動脈高壓導致的右心室擴張與缺氧。
- 表現:
-
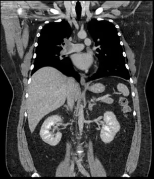
電腦斷層 (Image 3 - CT Coronal View):
- 表現:這是一張顯影劑增強的冠狀切面 CT。在充滿顯影劑(白色)的肺動脈主幹及其分支中,可見明顯的低密度充盈缺損 (Hypodense Filling Defect),佔據了血管腔的大部分。
- 意義:這是肺栓塞的確診影像 (Pathognomonic sign)。影像顯示血栓阻塞了肺動脈血流(可能為馬鞍型栓塞 Saddle embolus 或延伸至兩側主肺動脈),導致右心後負荷急劇增加。
選項分析:
-
A. 急性心肌炎 (Acute Myocarditis):
- 雖然可能有呼吸困難和心悸,且 Troponin 可能升高,但心肌炎通常會有病毒感染前驅症狀(如發燒、感冒症狀)。
- 關鍵排除點:D-dimer 通常不會飆升至 20 mg/L,且 CT 肺動脈造影不會出現充盈缺損。心電圖多為瀰漫性 ST-T 變化或傳導阻滯,而非特異性的 S1Q3T3。
-
B. 高血壓心臟病 (Hypertensive Heart Disease):
- 病患血壓目前正常 (126/72 mmHg)。
- 雖然長期心悸可能暗示心律不整或慢性心臟問題,但無法解釋突發的嚴重低血氧、極高的 D-dimer 以及 CT 上的肺動脈血栓。
-
C. 肥厚性心肌病 (Hypertrophic Cardiomyopathy, HCM):
- HCM 患者可能有心悸和呼吸困難,ECG 可能出現 LVH 或深 Q 波。
- 關鍵排除點:HCM 不會導致 D-dimer 極度升高或 CT 上的血管充盈缺損。本題影像明確顯示是血管內的阻塞問題,而非單純的心肌肥厚。
-
D. 肺動脈栓塞症 (Pulmonary Embolism):
- 符合度最高。
- 臨床症狀:肥胖 (BMI 41) 是重大危險因子(易導致 DVT)。突發呼吸困難、心跳過速 (HR 141)、呼吸急促 (RR 28) 均為典型表現。
- 檢驗數據:
- D-dimer 20 mg/L:極度升高(正常 < 0.5),對血栓形成有極高敏感度。
- NT-Pro-BNP 2470 pg/mL:顯著升高,反應右心室因急性阻塞而擴張/壓力過大 (RV stretch)。
- Troponin T 0.019 ng/mL:輕微升高,代表右心室微梗塞或損傷 (RV micro-infarction),與預後不良有關。
- 影像證據:ECG 的 S1Q3T3 與 RBBB 顯示右心負荷;CT 顯示肺動脈內血栓。
答案解析:
綜合患者的肥胖病史、突發性呼吸困難、竇性心搏過速、極高的 D-dimer,以及最具診斷價值的 ECG (S1Q3T3 + RV Strain) 和 CT (肺動脈充盈缺損),診斷明確為 (D) 肺動脈栓塞症。
核心知識點:
- S1Q3T3 Pattern:Lead I (S wave), Lead III (Q wave, Inverted T wave)。雖僅在約 20% 的 PE 患者中出現,但特異性較高,代表急性右心室擴張 (Acute Cor Pulmonale)。
- 右心室過度負荷 (RV Strain) 指標:
- ECG:S1Q3T3, 新發生的 RBBB, V1-V4 T波倒置。
- 生化:Troponin 升高 (代表心肌受損)、BNP 升高 (代表心肌張力增加)。這些數值升高提示為中高風險 (Intermediate-High Risk) 肺栓塞,需密切監控。
- CTPA (CT Pulmonary Angiography):診斷 PE 的黃金標準,特徵為血管內的低密度充盈缺損 (Filling defect)。
參考資料
- 2019 ESC Guidelines for the diagnosis and management of acute pulmonary embolism
- Costantino, G., et al. (2019). Diagnosis and management of acute pulmonary embolism. European Heart Journal.