107年:醫學二(2)
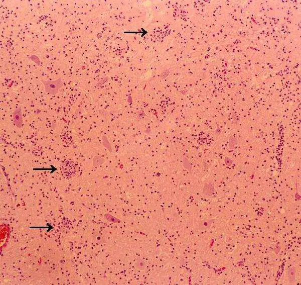
下列三類病毒,何者可在神經系統造成如圖箭頭所指的病變?①水痘-帶狀 疱疹病毒(Varicella-zoster virus )②腸病毒(Enterovirus genus )③西尼羅河病毒( West Nile virus ) 
A僅①
B僅②
C僅①②
D①②③
詳細解析
本題觀念:
本題核心觀念為 病毒性脊髓炎 (Viral Myelitis) 及其造成的 急性無力肢體麻痺 (Acute Flaccid Paralysis, AFP) 病理變化。特別是針對脊髓灰質前角細胞 (Anterior horn cells) 的破壞。
影像分析:
- 組織部位:顯微鏡下可見中樞神經組織的灰質部分。背景為粉紅色的神經纖維網 (Neuropil)。
- 細胞特徵:視野中有數個大型的神經元 (Large neurons),其細胞體碩大、多角形,符合脊髓 前角運動神經元 (Anterior horn motor neurons) 的特徵。
- 病理變化 (箭頭所指):
- 箭頭指向的神經元周圍聚集了大量的小型嗜鹼性細胞(淋巴球、單核球與微膠細胞 microglia)。
- 發炎細胞不僅圍繞神經元,甚至正在侵入並吞噬退化、壞死的神經元細胞體。
- 此為典型的 噬神經細胞現象 (Neuronophagia)。
- 綜合判讀:這是典型的病毒性感染導致前角運動神經元壞死的病理表現,即「脊髓灰質炎」(Poliomyelitis) 的特徵性病變。
選項分析:
- **① 水痘-帶狀疱疹病毒 (Varicella-zoster vi
...(解析預覽)...
![醫師[1] - 神經骨骼與皮膚病理 - AI 圖文解析預覽](/_next/image?url=https%3A%2F%2Fbgvxfcrmbdvefjhuvrmt.supabase.co%2Fstorage%2Fv1%2Fobject%2Fpublic%2Fvisual-explanations%2F527%2F32993_t35cdbe46.webp&w=3840&q=75)
升級 VIP 解鎖圖文解析